Реабилитация
Человек, перенесший столь серьезную травму, должен иметь четкое представление о длительности периода восстановления и правилах поведения во время его прохождения. Реабилитационный срок в среднем составляет 4-6 месяцев, а при неблагоприятном течении может растянуться и на год.
Особенно важно придерживаться рекомендаций доктора в самом начале реабилитационного периода, когда приходит время встать на костыли. Если допустить неправильное распределение нагрузки, можно получить вторичную травму, и тогда лечение затянется на многие месяцы
Руководит больным во время восстановительного периода врач-реабилитолог: он же подскажет, как правильно передвигаться по горизонтальной плоскости и спускаться по лестнице, и в какой момент можно перейти с костылей на бадик.
Что говорится в инструкции
Лечение перелома бедра
Лечение перелома бедра зависит от анамнестических данных и заключается в консервативной терапии или хирургическом вмешательстве
Врач, разрабатывая план терапии, обязательно берет во внимание:
- возраст пострадавшего;
- насколько разрушена кость;
- имеются ли первичные заболевания и вторичные осложнения.
Окончательно лечение перелома бедра подбирается, основываясь итоговыми заключениями по каждому из факторов.
Консервативная терапия
Консервативное лечение перелома бедра рассматривают в качестве единственного варианта, если оперативное вмешательство категорически противопоказано. К примеру, когда пациент в недавнем прошлом перенес инфаркт или болеет сахарным диабетом.
В целом консервативное лечение перелома бедра считается уместным при выявлении у потерпевшего:
- любые закрытые виды переломов бедра без осложнений;
- психических расстройств;
- тяжелых сердечно-сосудистых заболеваний на фоне пожилого возраста;
- паралича;
- латерального повреждения шейки бедра.
Чтобы предотвратить проникновение инфекции при открытом переломе, купировать болевой синдром, а также ускорить восстановительный процесс в костных тканях, доктор назначает прием медикаментов:
- анальгетиков – новокаиновой или лидокаиновой блокады, Кеторолака, Диклофенака;
- глюкокортикостероидов – Гидрокортизона, Дипроспана;
- антибиотиков – Цефтриаксона, Цефатоксима либо аналогов в соответствии с индивидуальными характеристиками пострадавшего;
- любых доступных кальцийсодержащих препаратов и витаминных комплексов.
Важнейшей частью при любом переломе является иммобилизация. Чтобы поврежденная кость по максимуму быстро и правильно срослась, конечность надо надежно зафиксировать. Если получен перелом со смещением, для начала проводится репозиция – сопоставляются фрагменты кости, затем выполняется фиксация бедра с помощью гипсовой повязки, благодаря чему достигается полная иммобилизация. Но, например, при чрезвертельном переломе для начала пациент находится определенное время на скелетном вытяжении, потом травмированная конечность подлежит иммобилизации.
Оперативное лечение
Если кость невозможно срастить с помощью консервативное терапии, при интерпозиции мягкой ткани (препятствии мышечной ткани к сращиванию), и почти при любых открытых переломах требуется проведение операции.
При переломе бедренной шейки хирургическое вмешательство подразумевает проведение открытого или закрытого остеосинтеза. Если используется открытая методика, проводят вскрытие тазобедренного сустава с последующим сопоставлением костных отломков. Фрагменты скрепляют с помощью титанового штифта из подвертельной области, затем выполняется зашивание раны. Однако подобная методика довольно травматичная и чревата коксартрозом – деформацией тазобедренного сустава.
При закрытом остеосинтезе выполняется небольшой надрез с последующим введением в костную полость стержня с помощью специального проводника. Проводится блокированная или свободная установка скрепляющего штифта. Свободный штифт будет неустойчивым, если диагностирован винтообразный или косой перелом, к тому же блокировка позволяет снизить нагрузку на костный мозг. Хирургическое вмешательство проводят при постоянном рентгенологическом контроле.
Рекомендации по уходу
Так как пожилой человек с переломом шейки бедра лежачий, то за ним требуется определенный уход. От качества ухода зависит 20% успешного восстановления.
Для удобства лежачего больного приобретается специальный противопролежневый массажный матрас. Хорошо приобрести специальную кровать, но этот вариант дорогостоящий. Можно оборудовать обычную кровать, сделать ее удобнее для больного. На кровать укладывается высокий и плотный матрас и закрепляется устройство «балканская рама». Она позволяет человеку самостоятельно переместиться в полулежачее и сидячее положение. Если подобное устройство приобрести не удалось, используется плотная простыня или шарф, которые крепятся к спинке койки со стороны ног лежачего. Концы шарфа лежачий человек сможет использовать по типу вожжей и приподниматься. Но самодельное устройство небезопасно, необходимо позаботиться, чтобы человек не свалился с кровати на бок.
У лежачего больного развиваются различные патологии, которые необходимо предупредить. Из всех патологий самые распространенные включают в себя:
- Пролежни. Образуются на теле больного в тех местах, где мягкие ткани плотно контактируют с кроватью. Кровоток в эти места прекращается, ткани начинают отмирать. Предупредить появление пролежней поможет специальный матрас. А также необходимо несколько раз за день заставлять человека присаживаться, регулярно переворачивать его с одной стороны, на другую. Появившиеся темные пятна на коже обрабатываются пантенолом или салициловым спиртом. Кровать меняется раз в 1–2 дня.
- Пневмония. Из-за постоянного лежачего положения в легких скапливается жидкость, и они воспаляются. Предупредить воспаление помогут воздушные шарики, которые лежачий больной должен раз в день надувать. Комната, где осуществляется лечение, проветривается два раза в день.
- Образование тромбов в венозной системе. Предупредить тромбофлебит поможет ежедневный массаж конечностей и бинтование ног эластичным бинтом. Ноги лежачего больного необходимо поднимать на валик, чтобы облегчить отток крови.
- Предупредить астенический синдром поможет ЛФК. Упражнения назначаются специалистом и выполняются каждый день.
Лежачему с переломом шейки бедра в любом возрасте назначается специальная диета. Предупредить запоры помогают клетчатка, которой много в овощах, фруктах и цельных злаках. На ночь больному дается компот из сухофруктов: чернослива, кураги. Запрещено принимать любые мочегонные средства, так как для образования костной мозоли необходим кальций. А мочегонные травы и препараты вымывают кальций из организма.
Стол больного состоит из продуктов, богатых кальцием и витамином Д3. Дополнительно назначаются витамины повышенным содержанием кальция. В качестве обезболивающего больному назначаются анальгетики с противовоспалительным эффектом: Нимесил, Ибуклин.
Нимесил
Ибуклин
Сколько живут пожилые люди после перелома шейки бедра, во много зависит от состояния здоровья больного до травмы и ухода после нее. Если человек активен и имеет поддержку близких, то восстановление пройдет в короткие сроки. Но на фоне обездвиживания у пожилых людей развивается депрессия, которая замедляет выздоровление.
Для поддержания духа больного необходимо принять следующие действия:
Окружить человека заботой и вниманием;
Заинтересовать каким-то делом: чтением книги, вязанием крючком, вышивкой, за интересным занятием время пройдет быстрее;
Больше общайтесь с лежачим, говорите на отвлеченные темы.
По статистике каждый пять лет к возрасту больного, убавляют шансы на благополучное выздоровление на 20%. Пациент до 65 лет вернется к привычной жизни в 80% случаев, в 70 лет в 60%. Но поддержание нормального психологического состояния и отсутствие депрессии способствуют выздоровлению.
Первая помощь при сломанном бедре
Оказание первой помощи при переломе бедренной кости заключается в следующем:
- Прежде всего следует постараться успокоить пострадавшего. Безусловно, в настолько тяжелом состоянии человек от боли может кричать и плакать. Если больной не выказывает никаких эмоций, возможно, он испытывает болевой шок.
- Обезболивание – эффективный отпор травматическому шоку. Подойдут любые, даже самые слабые, анальгетики. Крайне желательно, если есть возможность, дать больному успокоительное (Корвалол, экстракт валерианы, Валокордин). Строго запрещено давать алкоголь в качестве обезболивающего, ведь не исключено, что человеку потребуется операционное вмешательство с применением наркоза.
- В ситуации открытого перелома (когда кожа разорвана и виднеется кость) нужно немедленно остановить наружное кровотечение. Руками дотрагиваться нельзя: легко занести инфекцию в организм. Необходимо наложить ткань или стерильную марлю и обернуть жгутом (выше места травмы) и повязкой. Не допускайте сильного пережимания жгутом травмированной конечности и чересчур долгого его ношения (не более, чем 1,5 часа): есть риск возникновения гангрены. Покалывание, пульсирующая боль и онемение говорят о том, что нужно сразу же ослабить жгут.
В ситуации закрытого перелома нужно выполнить транспортную иммобилизацию (другими словами, обездвиживание сломанной конечности с намерением зафиксировать отломки бедренных костей), чтобы избежать дополнительного травмирования сосудов и тканей и повторного повреждения конечности. Иммобилизация осуществляется путем наложения шины на травмированную ногу. Если нет возможности использовать специальную медицинскую шину, следует самостоятельно изготовить таковую из подручных материалов (ветки, доски, картон, палки).
Правила наложения шин при переломах бедра следующие:
Перед наложением рекомендуется подложить на ногу вату, ткань или марлю: это убережет от появления пролежней
Предварительно нужно с предельной осторожностью освободить человека от одежды (сначала это проделывается с поврежденной ногой, затем со здоровой). Если решено оставить больного в одежде, дополнительно подкладывать ничего не требуется.
Наложение произвести с внутренней и внешней стороны на два (или более) неповрежденных сустава, прибинтовать шины к ноге марлей или бинтом
Лучший вариант – наложить ее на голеностопный, коленный и тазобедренный суставы.
Убедиться, что шина держится крепко и надежно. При неосторожном движении или транспортировке пострадавшего, сдвиг ее чреват смещением кости.
Для того чтобы снизить болевые ощущения при закрытом переломе, можно приложить обернутые марлей кусочки льда или другой имеющийся под рукой холодный предмет. Пострадавшего может начать бить озноб, и нужно укрыть его одеждой или одеялом.
Транспортировку пострадавшего в больницу качественнее всего обеспечит бригада скорой помощи, а потому имеет большой смысл вызвать ее на место ЧП как можно раньше. Если сделать это не представляется возможным и предстоит самостоятельная доставка пострадавшего в медицинский пункт, в качестве носилок нужно выбрать что-то с жесткой и широкой поверхностью (например, деревянное полотно). Начинать транспортировку нужно, убедившись, что сломанная нога надежно зафиксирована.
ВАЖНО: ни при каких обстоятельствах не предпринимать попыток вынуть осколки из раны или вправить кости! Это вправе делать только врачи
Удаление копчиковой кисты лазером
Меры помощи при открытом переломе
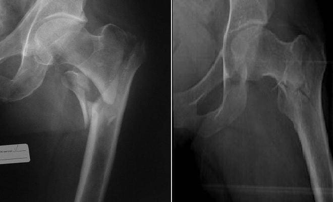
Виды переломов бедра
Травмы подразделяют по нескольким разновидностям. Рассмотрим каждую из них подробнее.
Проксимальная травма
Одна из форм – это проксимальный перелом бедра (травмирована верхняя треть). Есть такие виды переломов бедра этой формы:
- Внесуставная форма (вертельная). Повреждается латеральный отдел – место локализации большого и малого вертела. Если травмируется головка бедренной кости, есть возможность разрушения любого из вертелов, либо промежуточной между ними зоны. Как следствие такая форма повреждения подразделяется на две группы – чрезвертельная и межвертельная травма. И в одном, и в другом случае существует опасность внедрения костных отломков друг в друга. В подобной ситуации повреждение рассматривают как вколоченное, срастающееся значительно быстрее, если сравнивать с невколоченной формой повреждения. С подобной разновидностью переломов чаще приходится сталкиваться у пациентов пожилого возраста. Причиной такой травмы обычно становится падение на вертельную область костной ткани. В результате происходит незначительное смещение фрагментов кости. Прогноз в этом случае благоприятный. Однако для костной перестройки требуется достаточно много времени, если же человек станет рано нагружать поврежденную конечность, есть риск развития варусной деформации в районе верхнего эпифиза. Оказание первой помощи при таком переломе бедра должно быть незамедлительным.
- Внутрисуставная форма (медиальная). К этой группе травм относят перелом бедренной головки и перелом шейки бедра – трансцервикальный, субкапитальный, базальный. Данная разновидность травмы подразделяется на две формы в соответствии с положением отломков: вальгусную и варусную. Вальгусная травма чаще всего вколоченная, с ней приходится сталкиваться намного чаще в отличие от варусного повреждения. Вальгусный перелом бедра происходит рядом с большим вертелом в период максимального отведения ноги.
Диафизарная травма
Такой перелом локализуется в районе средней трети бедра (между малым вертелом и медиальным надмыщелком). Кроме того, подобную травму классифицируют в соответствии с местоположением. Повреждена может быть верхняя часть кости, средняя и нижняя треть диафиза. В соответствии с характером излома повреждение может быть косое, поперечное, оскольчатое, винтообразное либо раздробленное. Первая помощь при переломах таких видов должна быть оказан незамедлительно.
Дистальная травма
В этом случае повреждение затрагивает нижнюю треть бедра, из-за чего смещается четырехглавая мышца в направлении большой берцовой кости, что в свой черед является причиной смещения переломанной кости вверх и вперед. Дистальная травма – достаточно серьёзное повреждение. После подобного перелома нередко наблюдается развитие посттравматического остеоартроза. Это заболевание характеризуется такими проблемами, как нестабильность суставной ткани в колене, ограниченная двигательная активность, частая боль ноющего характера в области повреждения.
Дистальные переломы бедра в свою очередь делятся на три основные группы:
- Надмыщелковая внесуставная травма.
- Межмыщелковая внутрисуставная травма (полная).
- Мыщелковая внутрисуставная травма (неполная).
Кроме локализации виды переломов бедра могут отличаться в зависимости от того, есть ли сопутствующие внутренние повреждения тканей и кожи.
Открытая травма
Это сложный перелом с продолжительным процессом заживления и риском занесения инфекции в костную ткань, что может стать причиной развития острого остеомиелита.
При таком переломе костные отломки прорывают кожные покровы. Наблюдается повреждение значительной площади мышц, сосудов и нервных рецепторов. Насколько интенсивным будет кровотечение — непосредственно связано с размером травмированного сосуда, иногда такой фактор является критическим.
Сильная боль и кровопотеря приводят к появлению проблем с дыханием и сердечным ритмом, потерпевший может впасть в панику, иногда на некоторое время теряет сознание. Нередко при открытой травме бедра отмечается травматический шок.
Закрытая травма
При закрытой травме, когда отсутствует смещение, внутренняя ткань и кожа не повреждена. Так как симптоматика слабо выражена, потерпевший может продолжать передвигаться, опираясь на поврежденную конечность. Причем повреждение может быть внутрисуставным, из-за чего происходит разрушения мыщелков большой берцовой кости.
Подозревать наличие закрытого перелома после получения какой-то травмы можно по следующим симптомам, появляющимся при попытках поднятия конечности:
- сильной боли;
- выпячивания фрагмента большой берцовой кости;
- нехарактерного хруста при ощупывании травмированной голени.
Правила транспортной иммобилизации
Транспортная иммобилизация при переломах бедра – это временная фиксация поврежденной области для перевозки пациента в больницу
Перемещать человека надо осторожно, поскольку любое резкое движение может усугубить его состояние: вызвать дополнительные смещения отломков кости и повреждения кровеносной системы бедренной зоны. При сложном переломе шейки бедра больного выводят из шокового состояния, после накладывается шина Дитерихса или пневматическая
В случае, когда специальных аппаратов нет, используют различные доски, палки, лыжи и прочее. Фиксируют тазобедренный, коленный и голеностопный суставы. Если нет подходящих подручных средств, следует прибинтовать больную ногу к здоровой. Бинтовать очень туго не рекомендуется, чтобы не нарушать процесс кровообращения.
Если иммобилизация при переломе бедра осуществляется врачами, имеются необходимые аппараты, пациенту проводят переливание крови и вводят противошоковый препарат. После делаются инъекции препаратов, которые стимулирует дыхание и сердечнососудистую систему. Перевозят больного в клинику на жестких носилках.
Вертеброгенная цервикобрахиалгия: причины, симптомы и лечение с народными методами
Диагностика
Для проведения диагностики межвертельных переломов необходимо обращаться в специализированное медицинское учреждение отделение травматологии лечебно-профилактического учреждения или травмпункт. Обследование проводится травматологом или хирургом. Врач опрашивает больного об обстоятельствах травмы, выясняет жалобы и анамнез болезни. Он обнаруживает отёчность бедра, ограничение подвижности в тазобедренном и коленном суставах на стороне поражения. Выявляет кровоподтёк в зоне перелома, определяет границы распространения отёка.
Назначают следующие дополнительные виды исследования:
- рентгенографию бедренной кости в двух проекциях;
- компьютерная томография области тазобедренного сустава;
- при подозрении на наличие гематомы назначают МРТ.
Если есть повреждение сосудов к обследованию привлекаются сосудистые хирурги.
Когда дают инвалидность
Наиболее частым типом перелома является перелом шейки бедра. В зависимости от осложнений, возникших в результате травмы, возможно получение разных групп нетрудоспособности:
- При формировании ложного сустава (вследствие невколоченного перелома) назначается вторая группа инвалидности.
- При возникновении медленного течения асептического некроза головки бедра, как правило, назначается третья группа, что позволяет получить облегченные условия работы для данной категории лиц.
- Для быстрого течения асептического некроза и последующей быстрой утрате этой конечностью опороспособности, назначается вторая группа.
- Если же в результате тех или иных осложнений пациент навсегда прикован к постели, то это предполагает назначение первой группы инвалидности.
Вышеприведенные данные относительны. Решение о назначении той или иной группы инвалидности будет стоять за МСЭК на основе истории болезни.
Виды переломов бедра
Травмы подразделяют по нескольким разновидностям. Рассмотрим каждую из них подробнее.
Проксимальная травма
Одна из форм – это проксимальный перелом бедра (травмирована верхняя треть). Есть такие виды переломов бедра этой формы:
- Внесуставная форма (вертельная). Повреждается латеральный отдел – место локализации большого и малого вертела. Если травмируется головка бедренной кости, есть возможность разрушения любого из вертелов, либо промежуточной между ними зоны. Как следствие такая форма повреждения подразделяется на две группы – чрезвертельная и межвертельная травма. И в одном, и в другом случае существует опасность внедрения костных отломков друг в друга. В подобной ситуации повреждение рассматривают как вколоченное, срастающееся значительно быстрее, если сравнивать с невколоченной формой повреждения. С подобной разновидностью переломов чаще приходится сталкиваться у пациентов пожилого возраста. Причиной такой травмы обычно становится падение на вертельную область костной ткани. В результате происходит незначительное смещение фрагментов кости. Прогноз в этом случае благоприятный. Однако для костной перестройки требуется достаточно много времени, если же человек станет рано нагружать поврежденную конечность, есть риск развития варусной деформации в районе верхнего эпифиза. Оказание первой помощи при таком переломе бедра должно быть незамедлительным.
- Внутрисуставная форма (медиальная). К этой группе травм относят перелом бедренной головки и перелом шейки бедра – трансцервикальный, субкапитальный, базальный. Данная разновидность травмы подразделяется на две формы в соответствии с положением отломков: вальгусную и варусную. Вальгусная травма чаще всего вколоченная, с ней приходится сталкиваться намного чаще в отличие от варусного повреждения. Вальгусный перелом бедра происходит рядом с большим вертелом в период максимального отведения ноги.
Диафизарная травма
Такой перелом локализуется в районе средней трети бедра (между малым вертелом и медиальным надмыщелком). Кроме того, подобную травму классифицируют в соответствии с местоположением. Повреждена может быть верхняя часть кости, средняя и нижняя треть диафиза. В соответствии с характером излома повреждение может быть косое, поперечное, оскольчатое, винтообразное либо раздробленное. Первая помощь при переломах таких видов должна быть оказан незамедлительно.
Дистальная травма
В этом случае повреждение затрагивает нижнюю треть бедра, из-за чего смещается четырехглавая мышца в направлении большой берцовой кости, что в свой черед является причиной смещения переломанной кости вверх и вперед. Дистальная травма – достаточно серьёзное повреждение. После подобного перелома нередко наблюдается развитие посттравматического остеоартроза. Это заболевание характеризуется такими проблемами, как нестабильность суставной ткани в колене, ограниченная двигательная активность, частая боль ноющего характера в области повреждения.
Дистальные переломы бедра в свою очередь делятся на три основные группы:
- Надмыщелковая внесуставная травма.
- Межмыщелковая внутрисуставная травма (полная).
- Мыщелковая внутрисуставная травма (неполная).
Кроме локализации виды переломов бедра могут отличаться в зависимости от того, есть ли сопутствующие внутренние повреждения тканей и кожи.
Открытая травма
Это сложный перелом с продолжительным процессом заживления и риском занесения инфекции в костную ткань, что может стать причиной развития острого остеомиелита.
При таком переломе костные отломки прорывают кожные покровы. Наблюдается повреждение значительной площади мышц, сосудов и нервных рецепторов. Насколько интенсивным будет кровотечение — непосредственно связано с размером травмированного сосуда, иногда такой фактор является критическим.
Сильная боль и кровопотеря приводят к появлению проблем с дыханием и сердечным ритмом, потерпевший может впасть в панику, иногда на некоторое время теряет сознание. Нередко при открытой травме бедра отмечается травматический шок.
Закрытая травма
При закрытой травме, когда отсутствует смещение, внутренняя ткань и кожа не повреждена. Так как симптоматика слабо выражена, потерпевший может продолжать передвигаться, опираясь на поврежденную конечность. Причем повреждение может быть внутрисуставным, из-за чего происходит разрушения мыщелков большой берцовой кости.
Подозревать наличие закрытого перелома после получения какой-то травмы можно по следующим симптомам, появляющимся при попытках поднятия конечности:
- сильной боли;
- выпячивания фрагмента большой берцовой кости;
- нехарактерного хруста при ощупывании травмированной голени.
Лечение
Мероприятия по репозиции костных отломков могут выполняться как консервативными методами, так и с помощью хирургической операции.
Консервативная терапия
Лечение перелома шейки бедра безоперационными методиками не дает должного эффекта в старческом возрасте. Такой вариант предназначен только для пациентов, которых по медицинским показаниям нельзя лечить хирургически.
На травмированный сустав накладывают гипс сразу после репозиционирования отломков кости. Задача репозиции не в воссоздании правильной анатомии бедренной шейки (без операции это сделать не получится), а в придании отломкам более-менее правильного положения, при котором со временем образуется костная мозоль. Линию перелома шейки бедра стремятся привести в максимально горизонтальное положение. Если это необходимо, используют систему скелетного вытяжения.
https://youtube.com/watch?v=MaWng-W5aL0
Консервативное лечение связано с продолжительным пребыванием в постели. Как уже было сказано выше, длительное обездвиживание (может достигать полугода с момента, когда случился перелом шейки бедра) запускает негативный сценарий, ухудшая общее состояние пациента, вызывая следующие патологические состояния:
- отклонения в функционировании сердечно-сосудистой системы;
- тромбирование глубоких вен и тромбоэмболия легочной артерии;
- пролежни;
- застой в легких;
- атрофические процессы мышц ног;
- тугоподвижность суставов.
Хирургическое лечение
Операция — действенный способ лечения перелома шейки бедра, в особенности что касается пожилых людей, так как другие методики не дают положительного результата.
Однако оперативное вмешательство возможно только при отсутствии ограничивающих факторов, в числе которых:
- сердечно-сосудистая недостаточность;
- почечная недостаточность;
- диабет в запущенной форме;
- «свежий» инфаркт миокарда;
- некоторые другие заболевания, существенно сказывающиеся на общем состоянии больного.
Применяется два типа операционных вмешательств по лечению перелома шейки бедра:
- Металлоостеосинтез. Операция состоит в фиксации костных отломков металлическими крепежными элементами. При надежно скрепленных костях шансы на сращивание костных структур значительно возрастают.
- Эндопротезирование. Операция состоит в полной или фрагментарной замене сустава.
Лучший способ восстановления функций поврежденной шейки бедра в настоящий момент — эндопротезирование тазобедренного сустава. Оперативное вмешательство позволяет сильно уменьшить (в сравнении с другими методами) сроки реабилитации пациента, вернуть пострадавшему полноценную двигательную активность.
Наиболее распространенный вид эндопротезирования, применяемый по отношению к пожилым людям, — однополюсное эндопротезирование. Операция состоит в установке протеза вместо бедренных головки и шейки. В ходе вмешательства вертлужная впадина не затрагивается.
К минусам эндопротезирования после перелома шейки бедра относится последующее трение протеза о хрящевой слой вертлужной впадины, что неизбежно и довольно быстро становится причиной истончения гиалинового хряща.
К достоинствам протезирования относятся малая травматичность и небольшая продолжительность операции. Указанные особенности хороши по отношению к пациентам любого возраста, а для пожилых людей минимально возможная травматизация в ходе операция особенно важна.
Обратите внимание! Эксплуатационный срок протеза напрямую зависит от степени двигательной активности и образа жизни его носителя. Чтобы повысить эффективность эндопротезирования на фоне возрастного остеопороза, крепление осуществляют полимеризованным цементом
Указанное вещество лучше всего прикрепляет протез и позволяет избежать травматизации протезом костных структур
Чтобы повысить эффективность эндопротезирования на фоне возрастного остеопороза, крепление осуществляют полимеризованным цементом. Указанное вещество лучше всего прикрепляет протез и позволяет избежать травматизации протезом костных структур.
Если перелом шейки бедра не сопряжен с патологическим процессом в костных структурах, пористый протез со временем покрывается костной тканью и остается в тазобедренном сочленении. Такой метод бесцементный, специальные материалы для фиксации протеза не нужны.
После операции наступает реабилитационный период, который длится в среднем 4 – 8 недель. В это время заживают ткани, а пациент должен уделить максимум внимания восстановлению естественной двигательной активности и развивать подвижность ранее иммобилизованной конечности.
В реабилитационных целях применяют физиотерапевтические процедуры, массаж и лечебно-профилактические упражнения.





