Лечение
То, как быстро пройдет лечение перелома плюсневых костей стопы, срастется поврежденная кость, и будут ли осложнения, зависит правильность и своевременность оказания первой помощи пострадавшему. Тактика дальнейшего лечения напрямую зависит от тяжести повреждения и от его локализации. Определить локализацию повреждения можно с помощью тщательного осмотра и двухпроэкционного рентгеновского снимка, который покажет место травмы:
- основание плюсневой кости стопы,
- диафиз,
- шейка или головка.
А также линию разлома и наличие/отсутствие смещения.
Общая схема лечения:
- Иммобилизация стопы с использованием гипсовой повязки.
- Закрытая репозиция. Осуществляется без разреза тканей. С ее помощью сопоставляются фрагменты кости, если смещение было незначительным.
- Остеосинтез. Проводиться с помощью оперативного восстановления обломков поврежденной кости согласно анатомическому размещению. При этом обломки фиксируются специальными деталями, такими как пластины, спицы или винты. После этого накладывается гипс. Как правило, такая процедура показана при множественных травмах и большом смещении костей стопы.
Далее пациенту рекомендуют не нагружать ногу, использовать для помощи костыли, принимать препараты кальция и витамин Д.
Гипс-сапожок накладывают при переломах плюсневой кости стопы для лечения в большинстве случаев.
Именно благодаря такой фиксации обломки, которые вернули в правильное положение, плотно зафиксированы и неподвижны.
В гипсе при переломе 5 плюсневой кости стопы необходимо ходить 1,5 месяца.
Ортез
Ортез при переломе костей стопы используют для фиксации обломков при легких травмах. Сам фиксатор изготовлен из полимеров, которые помогают уменьшить нагрузку на ногу и стабилизировать стопу. При множественных повреждениях ортез не используют, а накладывают гипс.
Народные методы терапии
Лечение с помощью народных средств не должно быть монотерапией. Как правило, народную медицину рекомендуют использовать, как вспомогательное лечение. Поэтому для ускорения сращивания костей и уменьшения болезненных ощущений могут быть использованы настойки для внутреннего приема. Приготовить такую настойку можно по рецепту:
- 1 ст. л. корня окопника в молотом виде,
- 1 стакан воды.
Окопник заливают кипятком и настаивают некоторое время до полного остывания. Затем отвар процеживают и принимают по 1-2 ч. л. 3 раза в день на протяжении месяца.
Обратите внимание!Использовать разогревающие мази, растирать место повреждения или массажировать его нельзя. Так как эти действия могут привести к усилению кровотока, в результате чего отек увеличиться и боль будет сильнее
Сколько заживает перелом?
Средняя продолжительность сращивания плюсневых костей составляет 6–8 недель. Именно за это время кости должны полноценно срастись. Но скорость сращивания костной ткани во многом зависит от ряда факторов, которые определяют регенерационные способности каждого отдельного пациента. К таким факторам относят:
- Возраст пострадавшего.
- Уровень кальция в костях.
- Наличие сопутствующих патологий.
- Соблюдение всех назначений доктора.
Оперативное лечение
Операция требуется в случае, если произошло сильное смещение перелома 3 и 4 плюсневых костей, или смещение перелома головки 5 плюсневой кости. При этом используют закрытое и открытое вправление.
Репозиция закрытого типа
Части деформированной кости вправляют руками через кожу, не разрезая ее, после чего стопу закрепляют спицами и накладывают гипс на 3–4 недели.
- Плюсы метода – быстродействие, не требуется разрез кожи.
- Минусы – могут остаться недопоставленные отломки, в результате чего кости срастутся неправильно и потребуется дополнительная операция.
Репозиция открытая
Проводиться при множественных переломах. Рану разрезают скальпелем, после чего выравнивают и вправляют смещенные обломки.
Затем фиксируют положение костей с помощью винтов, пластин и конструкций наружного положения, при которых нога остается неподвижной по полного сращивания костей.
Физиотерапевтические процедуры в период восстановления
Физиотерапия назначается пациенту еще в период лечения. Электрическое поле, УВЧ, магнитотерапия, лазеротерапия и ультрафиолетовое облучение хорошо проходит через высохший гипс. Терапия с помощью лазера может проводиться в красном спектре, для этого в гипсовой повязке вырезается небольшое отверстие, либо же в инфракрасном диапазоне через гипс.
Несколько лет назад УВЧ-терапия не проводилась, если в ноге пациента присутствовала металлическая конструкция. На сегодняшний день процедура проводится при наличии металлоконструкций в месте травмы, однако силовые линии направляются параллельно им, что препятствует перегреву пластины или другой конструкции. Если на ноге установлен наружный фиксирующий аппарат, то излучатель помещается между ним и кожей.
Как проходит послеоперационный период
Спондилодез занимает от 2 до 8 часов. После этого пациент должен около 2 суток провести в палате интенсивной терапии. Затем на срок от 1 недели до 3-х назначается постельный режим.
В послеоперационный период назначают антибиотики и обезболивающие препараты. Осуществляется контроль за пульсом, давлением, функциями ЖКТ и дыхания. Полезны бывают ультразвуковые ингаляции и дыхательная гимнастика.

Переломы лодыжек
Причины переломов лодыжек
- подворачивание стопы вовнутрь или наружу с одновременной нагрузкой по оси конечности, как правило, собственным весом тела;
- удар по лодыжке (например, движущимся автомобилем);
- падение на область лодыжки тяжелого предмета.
Виды переломов лодыжек
В зависимости от того, какая лодыжка сломана
- перелом внутренней лодыжки (связанной с большеберцовой костью);
- перелом наружной лодыжки (связанной с малоберцовой костью).
В зависимости от механизма возникновения перелома
- пронационный – при повороте стопы внутрь;
- супинацинный – при повороте стопы наружу.
Признаки перелома лодыжки
- Отек в области голеностопного сустава.
- Сильная боль.
- Иногда – кровоизлияние под кожей.
- Невозможность движений в голеностопном суставе из-за боли и отека.
- Стопа принимает характерное положение, отклоняется наружу или вовнутрь.
Диагностика переломов лодыжек
Симптомы, которые выявляет врач-травматолог во время осмотра пострадавшего
- Сильная боль при нажатии на поврежденную лодыжку.
- Наличие костных отломков, которые можно прощупать через кожу.
- Крепитация – хруст, напоминающий лопающиеся пузырьки, который возникает при ощупывании поврежденной лодыжки.
Лечение
Обычно переломы лодыжек лечат без операции
- Врач проводит обезболивание – окалывает место перелома раствором анестетика.
- Затем осуществляется закрытая репозиция – травматолог устраняет смещение лодыжек.
- Накладывают гипсовую повязку от середины бедра до кончиков пальцев стопы.
- Через неделю после наложения гипсовой повязки делают повторные рентгеновские снимки, чтобы проконтролировать положение отломков.
- Если не происходит смещения, и перелом нормально срастается, через 8-10 недель повязку снимают.
Показания к хирургическому лечению переломов лодыжек
- не удается устранить смещение отломков закрытым способом;
- при проведении контрольных рентгеновских снимков выявляется повторное смещение отломков.
Восстановительное лечение после операции по поводу перелома лодыжки:
- Лечебная физкультура. С первых же дней начинают движение в голеностопном суставе – сгибание в сторону подошвы. На 5-7-й день начинают более активный комплекс гимнастики.
- Опора на поврежденную ногу. Пациенту разрешают вставать на 4-5-й день после операции. Дальнейшая программа повышения нагрузок на ногу разрабатывается индивидуально.
- Повторные рентгеновские снимки. Назначаются через 6 и 12 недель.
- Удаление спиц, шурупов и пластин. Обычно осуществляют через 8-12 месяцев.
- Массаж, физиотерапия, озокеритотерапия. Назначаются индивидуально.
Показания к наложению аппарата Илизарова при переломах лодыжек
- множественный перелом костей голени;
- сочетание перелома лодыжек с переломами тел костей голени;
- переломовывих – сочетание перелома лодыжек с вывихом в голеностопном суставе;
- застарелый перелом лодыжки, когда не было своевременно проведено лечение.
Осложнения переломов лодыжек
- Деформирующий остеоартроз. Это дегенеративное заболевание, сопровождающееся разрушением хряща и чаще всего происходящее при повреждении сосудов и нервов. Проявляется в виде болей, хруста во время движений в суставе, ограничения подвижности.
- Контрактура. Утрата подвижности в суставе из-за патологического изменения суставных поверхностей, суставной капсулы, связок.
- Остеопороз – разрушение костной ткани, повышение ломкости костей голени, которое чаще всего происходит в результате нарушения кровообращения.
- Формирование ложного сустава – когда не происходит сращение перелома из-за того, что между отломками ущемляется фрагмент ткани.
Профилактика переломов
Из всего вышеперечисленного становится понятно, что реабилитация после перелома — процесс очень трудный и продолжительный. И только от упорной совместной работы доктора и пациента зависит окончательный результат.
Именно поэтому следует заниматься профилактикой переломов. Всегда легче предупредить их возникновение, чем потом тратить на лечение массу физических и моральных сил, времени и денег.
Существует несколько советов по предупреждению переломов:
- Соблюдать правильный рацион. Необходимо употреблять продукты, содержащие кальций. Надо проводить больше времени на улице в солнечную погоду, что будет способствовать выработке витамина D.
- Разминаться перед физической нагрузкой. При посещении спортивных клубов и фитнес-центров следует знать о том, что перед выполнением любых упражнений должна быть проведена полноценная разогревающая разминка.
- Отказаться от вредных привычек. Злоупотребление алкоголем и курение оказывают неблагоприятное воздействие на все органы и системы, в том числе и на костно-мышечную.
- Грамотно планировать режим дня. Никогда не нужно работать до изнурения. Следует дозировать нагрузки и разбавлять их перерывами на отдых.
- Следить за весом. Избыточный вес может сыграть свою роль в возникновении перелома при травме. По возможности следует избавляться от лишних килограммов.
https://youtube.com/watch?v=tnuQQtKlo-k
Рекомендуется соблюдать самые простые правила: носить удобную обувь (для женщин актуален устойчивый каблук), внимательно переходить улицу, избегать гололедицы. При езде на велосипеде или роликах надевать шлем и налокотники с наколенниками. В ванной обязательно должен присутствовать противоскользящий коврик, а на ногах — тапочки. Никогда не знаешь, где поскользнешься и упадешь, но предупредить такое развитие событий вполне возможно.
Источник
Возможные осложнения
Важно выполнять все рекомендации врача и отнестись со всей серьезностью к процессу восстановления. Факт наложения гипса еще не гарантирует успешного устранения перелома
Многое зависит от поведения и ответственности пациента.
Нельзя допускать пропуски контрольных посещений врача, так как на них при проведении осмотра могут быть выявлены отклонения от нормального течения процесса заживления.
Возможные проблемы:
- Образование ложного сустава. Это происходит, когда поврежденные кости недостаточно соприкасаются друг с другом. Патологию исправляют хирургическим путем.
- Хромота после травмы может остаться на всю жизнь, если кости срослись неправильно или произошла деформация суставов. Поможет только повторная операция.
- Посттравматический артроз возникает при неправильной фиксации суставов. Появляется хруст при движении, кожа синеет, боль усиливается.
- Чувствительность к изменению погоды. Порой даже давно зажившие конечности начинают реагировать на погоду: появляются болевые ощущения и дискомфорт. Однако врачи считают, что при здоровом образе жизни, регулярных тренировках, правильном питании метеочувствительность вас не побеспокоит.
Самая распространенная проблема в процессе восстановления после снятия гипса – это борьба с отеками. Если во время ношения гипсовой повязки травмированная конечность не разрабатывалась, то опухание будет достаточно сильным (фото). Чем мазать ногу после снятия гипса, чтобы ускорить заживление? Есть медицинские средства для уменьшения отечности и народные.
К медицинским относятся:
- противовоспалительные лекарства: «,Артрозан»,, «,Ибупрофен«,, «,Мовалис»,,
- охлаждающие мази: «,Лиотон гель»,, «,Гепариновая мазь»,, «,Троксевазин»,: холод снимет боль с травмированного участка после повязки,
- согревающие гели: «,Финалгон«,, «,Никофлекс», —, улучшают приток крови к поврежденным тканям, «,Трентал», — чтобы избежать нарушения циркуляции крови,
- мочегонные препараты, такие как «,Торасемид»,, «,Диакарб», для ускорения процесса вывода жидкости из организма после травмы.
Народные средства:
- использование тугой повязки эластичным бинтом,
- компрессы из голубой глины,
- ванны для ног с отваром из веток пихты,
- мочегонные травяные чаи и настойки,
- компрессы с сырым тертым картофелем или капустными листьями.
Период полного выздоровления после перелома пальца
Сроки выздоровления зависят от вида перелома, сложности повреждения, возраста пациента и его самочувствия. Восстановление большого пальца стопы длится до 2-2,5 месяцев. Остальные фаланги реабилитируются быстрее — за 4-5 недель.
Пальцы рук возобновляют свою деятельность спустя месяц после травмы, восстановление большого пальца руки может затянуться на 6 месяцев.
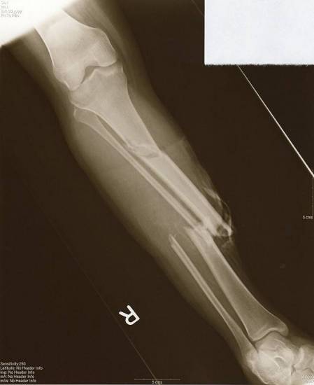
Общая информация о переломе голени
Перелом голени происходит в результате прямого удара по ней, а также при деформировании конечности с неподвижной стопой. Четверть подобных травм происходит во время дорожно-транспортных происшествий.
Такие травмы бывают множественные и единичные, по типу линии перелома – прямые, косые и в виде спирали; с осколками и без них; открытого и закрытого типа. Также может быть одновременно перелом обеих костей голени и каждой по отдельности, перелом голени со смещением и без.
К главным признакам перелома голени можно отнести болевые ощущения и невозможность перенести опору на поврежденную ногу. При переломе со смещением поврежденная конечность слегка укорачивается, а ее положение в плоскости будет аномальным. Обломки при переломе со смещением могут резко менять свое положение относительно друг друга в вертикальном и горизонтальном направлении.
Методы лечения различных типов переломов голени немного разнятся, но у всех их есть общая последовательность действий, направленная на ускорение сращивания костей и подготовку к реабилитации:
- Репозиция обломков кости путем постановки их в правильное положение для сращивания. Ее может проводить хирург вручную под местной анестезией, также может использоваться система скелетного вытяжения, а при тяжелых повреждениях оперативное вмешательство. Операция проводится в случае, когда неэффективными оказались методики ручной складки кости и вытяжения, также она показа при множественных травмах, деформации мягких тканей и при открытых переломах;
- Фиксирование обломков кости спицами, пластинами и прочими приспособлениями;
- Обездвиживание голени путем наложения гипса или других установок сроком от нескольких недель до нескольких месяцев до образования костного мозоля.
https://youtube.com/watch?v=jJb8Dlfzl-Y
Методы реабилитации
В результате длительной иммобилизации кисти и стопы шиной или гипсом пациентов часто беспокоит дискомфорт в конечности и слабость. Активно применяя методы восстановления сразу после снятия гипса, эти симптомы проходят в течение реабилитационного периода. До этого они проводятся в щадящем режиме. После снятия фиксирующих повязок необходимо активно начинать упражнения с постепенным повышением нагрузки.
Для восстановления функций пальца после перелома применяются следующие методы:
- ЛФК;
- массаж;
- физиотерапия;
- восстанавливающая гимнастика.
ЛФК
Восстановить подвижность пальцев после гипса помогает ЛФК. Она при этих переломах проводится от четырёх до восьми недель. Это зависит от сложности повреждения и степени участия в движении. При упражнениях нагрузку на него надо повышать постепенно, при резком однократном увеличении возможна повторная травматизация кости. Начинают ЛФК сразу же после иммобилизации отломков, а выполняют движения максимально щадяще. Нельзя допускать ни малейшего переутомления при проведении упражнений, так как сразу же возрастает реактивности повреждённых тканей. Усиливается воспаление и нарастает отёчность в месте повреждения. В упражнения разрешено вовлекать свободные от иммобилизации суставы. После снятия шины или гипса начинают активно тренировать все суставы кисти или стопы. Пациентам предписывают активное выполнение упражнений для увеличения объёма движений в межфаланговых суставах.
К ним относят упражнения:
- на разгибание;
- сгибание;
- противопоставление;
- отведение;
- приведение.
При ЛФК для пальцев рук и ног сначала активно тренируют мышцы сгибатели, затем переходят к активной тренировке разгибателей. Выполняются действия, активно тренирующие координацию движений. С целью повышения глубокой чувствительности применяются упражнения с захватом предметов различной формы, сделанные из разных материалов. Комплекс ЛФК разрабатывается врачом реабилитологом. Проводятся упражнения под наблюдением опытного инструктора ЛФК, помогающего больному разработать фаланги пальцев после перелома.
Массаж
Курс массажа больному назначает лечащий врач, проводится он опытным массажистом. Массаж начинают на следующий день после репозиции отломков. Массажные движения проводят выше и ниже гипсовой повязки. Это способствует активации микроциркуляции тканей в зоне поражения и уменьшению отёчности. После снятия фиксирующей повязки выполняют массаж повреждённого места.
Он решает следующие задачи:
- улучшает кровообращение;
- повышает интенсивность лимфооттока;
- уменьшает боль;
- улучшает питание тканей;
- восстанавливает функцию кисти;
- ускоряет формирование костной мозоли;
- снижает вероятность развития мышечной атрофии;
- профилактика тугоподвижности суставов и формирование контрактур.
Массаж способен уменьшить выраженность онемения. Эта процедура предупреждает образование посттравматического артрита в суставах на месте поражения.
Физиотерапия
Физиотерапевтическое лечение при переломах пальцев используется как дополнение к основному лечению. При проведении реабилитации оно проводится совместно с ЛФК при переломах. В реабилитации применяют процедуры физиотерапии после перелома пальцев:
- электрофорез;
- фонофорез;
- электромиостимуляция;
- грязелечение;
- УВЧ.
Физиопроцедуры при переломе пальцев назначают сразу после удаления гипса. Тепловое воздействие используют после заживления повреждения, они усиливает отёк тканей. Их начинают применять только после уменьшения воспаления. Физиолечение при переломе пальца руки способно улучшить трофику тканей и уменьшить боль.
Восстанавливающая гимнастика
Для повышения эффекта от проводимых упражнений, чтобы активнее разработать палец на руке после перелома, рекомендуется их выполнять в тёплой воде. Её температура не должна превышать 38 С. Пациенту рекомендуют лепку фигурок из тёплого парафина. Это упражнение улучшает мелкую моторику, способствует повышению эластичности кожи и связок.
Массаж после перелома лодыжки – особенности
Если говорить в целом, то физиотерапия является одной из важнейших составляющих реабилитации после получения такого рода травм. Отдельно здесь следует выделить лечебный массаж. Начинать его можно уже на 3-й день после того, как осколки были возвращены в правильное положение, а травмированная конечность – иммобилизирована.
Массаж после перелома лодыжки делается одним из двух возможных методов:
- вручную;
- с помощью вибрационного устройства.
Первый вариант в настоящее время применяют гораздо чаще. Вибрационное устройство используется, как правило, в ситуациях, когда тонус мышц пациента имеет патологическое увеличение на отдалении от места полученной травмы. Помимо этого, применяют и разные техники массажа – кроме уже упомянутого вибрирования оптимальными вариантами здесь являются растирание, разминание и поглаживание. Делать массаж можно как в стационаре, так и в домашних условиях.
Для того чтобы создать рефлекторный эффект, на травмированную лодыжку следует воздействовать в течение не менее 3-х и не более 5 минут. На первоначальном этапе массировать нужно только лишь небольшую часть травмированной конечности. Постепенно, начиная с 4-го дня, зону воздействия увеличивают.
Следует отметить один момент. При переломе лодыжки реабилитационный массаж начинают не с травмированной конечности. В первую очередь воздействие нужно оказать на грудную клетку. Это нужно для того, чтобы не допустить возникновения в легких весьма нежелательных застойных явлений. На следующем этапе массируется уже живот. В данном случае главная задача заключается в улучшении кровообращения в малом тазу. Кроме того, массаж живота помогает предупредить атонический процесс в кишечнике.
Только после того, как размяты перечисленные выше части тела, можно приступать к воздействию на ноги. Сразу следует предупредить, что первой массируется здоровая конечность. Это объясняется необходимостью вызвать рефлекторную реакцию. Если здесь все нормально, переходят уже к травмированной ноге. Такой подход, во-первых, положительно сказывается на процессах тканевой регенерации и репарации, во-вторых, позволяет не допустить столь нежелательного явления, как контрактура.
К поломанной лодыжке нужно подбираться постепенно. Сперва массируется участок между пахом и коленом. После этого можно начинать воздействие на область пальцев стопы. Для того чтобы стимулировать лимфоток и кровоток на участок, который расположен ниже перелома, нужно массировать более активно. Непосредственно в месте, где случился перелом, интенсивность воздействия обязательно должна быть уменьшена. В данном случае необходимо делать по спирали растирания и поглаживания. На завершающем этапе вся нижняя конечность легонько встряхивается. Иногда данную процедуру можно заменить поглаживанием ноги. Если продолжительность первых сеансов не должна превышать 12 минут, то впоследствии время увеличивают до получаса. При этом массаж нужно делать в течение как минимум 2-х недель.
В частности, массажные процедуры запрещается сочетать с ультрафиолетовым облучением и криотерапией. До того пока костные отломки не консолидированы, пораженный участок нельзя стимулировать электрофорезом. Противопоказаниями к массажу ног являются патология суставов, заболевания кожи, инфекция, поселившаяся в организме, острый туберкулез, онкологические заболевания и кровотечение.
Очень важно в точности придерживаться всех рекомендаций врача. В ином случае реабилитация не только не выполнит своей главной задачи, но и обернется весьма неприятными последствиями для пациента, такими как хромота, деформация пальцев, смещение костных отломков и так далее
Да и сам процесс восстановления может серьезно затянуться.
Еще одной важной составляющей реабилитации после перелома лодыжки является лечебная физкультура. Упражнения нужно выполнять как во время ношения, так и после снятия гипса
Благодаря комбинированию упражнений ЛФК и сеансов массажа достигается синергетический эффект. Основной задачей лечебной физкультуры является восстановление двигательных функций травмированного голеностопа путем его постепенной разработки. Приступать к выполнению упражнений нужно не ранее чем на 10-е сутки после перелома.
https://youtube.com/watch?v=FpQlvT7pumA
Операция и восстановление после оскольчатого перелома бедренной кости
Лечение оскольчатого перелома бедренной кости во многом зависит от качества оказания первой помощи. Она заключается в следующих действиях:
- остановка кровотечения;
- лед на область перелома;
- обезболивание. При выраженном болевом синдроме применяются наркотические анальгетики;
- иммобилизация пострадавшей нижней конечности с помощью шины Крамера, Дитерихса, а также подручных средств (крепкой ровной палки, доски и так далее). При отсутствии приспособлений, которые помогут обездвижить пострадавшую нижнюю конечность, ее можно примотать к здоровой, предварительно выяснив, нет ли у той каких-либо повреждений;
- накладывание повязки при открытом переломе.
Важно
Самостоятельная репозиция отломков бедренной кости до приезда бригады медиков запрещена.
Лечение пострадавших проводится в травматологическом стационаре. В его основе лежит оперативное вмешательство – репозиция (сопоставление костных фрагментов) и остеосинтез (скрепление) с помощью специальных пластин, гвоздей или винтов. Во время операции мелкие отломки могут быть удалены. Используются разные системы фиксации – одни из них удаляются после консолидации отломков, другие остаются.
При нарушении целостности внутрисуставных фрагментов бедренной кости важным является восстановление конгруэнтности суставных поверхностей – то есть, их анатомического соответствия друг другу.
После выполнения хирургических манипуляций потребуется повторное рентгенологическое обследование, как и в дальнейшем по мере прохождения лечения.
Также привлекается консервативная терапия. Назначения следующие:
- полноценное сбалансированное питание;
- ЛФК;
- массаж;
- дыхательная физкультура;
- инфузионная терапия;
- обезболивающие средства;
- витамины;
- физиотерапевтические процедуры.
Полноценное сбалансированное питание является важным для поступления питательных веществ к костным отломкам – благодаря этому они быстрее срастутся.
Дыхательная физкультура проводится для предотвращения послеоперационных застойных пневмоний. Эффективным является надувание обычных воздушных шариков.
Инфузионная терапия привлекается с заместительной целью при кровопотере. При этом внутривенно капельно вводят одногруппную кровь, эритроцитарную массу, сыворотку крови, свежезамороженую плазму, глюкозу, солевые препараты, электролиты и так далее;
Даже если больному обеспечено полноценное питание, витамины назначаются в любом случае. Их применяют в виде аптечных комплексов, которые также включают в себя минеральные вещества.
При позитивной послеоперационной динамике практикуют раннюю активизацию пациентов
Она является важной для предупреждения посттравматических контрактур (нарушения двигательной активности нижней конечности из-за вынужденного длительного обездвиживания). При этом следует проходить регулярное рентгенологическое обследование, которое позволит держать под контролем консолидированные отломки бедренной кости и состояние костной мозоли
Во время реабилитации (восстановления) консервативная терапия продолжается
В этот период особо важной является лечебная физкультура. Упражнения должны выполняться регулярно и под контролем врача ЛФК, который дозирует нагрузки
Цель ЛФК – укрепление мышц, которые какой-то отрезок времени оставались бездейственными, что могло сказаться на их функциональности.
В отдаленном периоде реабилитации оптимальной нагрузкой является непродолжительная, но регулярная активность в пределах дома. При прогулках необходимо использовать опору – трость или костыль.
Классификация
Существуют следующие переломы пятки:
- Перелом пяточной кости со смещением;
- Нарушение целостности пяточной кости без смещения.
Также этот перелом может быть:
- Множественным;
- Оскольчастым;
- С повреждениями медиального и латерального отростков.
Независимо от вида травмы, лечить ее в домашних условиях не рекомендовано, так как это может повлечь весомые последствия. Большую опасность несет закрытый перелом, так как пострадавший может принять его за ушиб, и ничего не подозревая, смело наступать на пятку, тем самым усугубляя ситуацию. Если вовремя не начать лечение травмы, есть вероятность что человек будет хромать всю жизнь, и это уже нельзя будет полностью восстановить.
Восстановительный период
Время, через которое можно нагружать травмированную ногу, зависит от типа травмы:
- если перелом изолированный и нет смещения, то реабилитацию можно начинать спустя неделю;
- если было смещение, то небольшая нагрузка разрешается через две недели;
- после проведения операции — спустя три недели;
- в случаях с отрывом большой берцовой кости — не ранее, чем спустя полтора или два месяца.
Голеностопный сустав после перелома нуждается в определенных усилиях больного и терпении. Разработка голеностопа после перелома подразумевает комплекс различных упражнений, подобранных доктором индивидуально, физиотерапевтические процедуры и массаж. Гимнастика помогает мышечной ткани вернуться к прежнему состоянию после длительного пребывания ноги в гипсе.
Реабилитация после снятия гипса должна начинаться в тот же день, а в идеале — еще до того, как доктор снимет гипсовую повязку. Многие думают, что разрабатывать и разминать ногу, пока она находится в гипсе, невозможно, однако это не так. При иммобилизации конечности доктор оставляет свободными пальцы, их и следует массировать, а также делать упражнения для разработки. Мышечно-связочный аппарат хорошо соединяет пальцы с тканями голеностопного сустава, поэтому разрабатывать пальцы, пока нога находится в гипсе, полезно для голеностопа.
Физиотерапия
Прохождение лечебных физиотерапевтических процедур в период восстановления положительно сказывается на функциональности конечности.
К основным процедурам, которые доктор назначает для восстановления ноги в области щиколотки, относятся:
- электрофорез;
- лазеротерапия;
- мышечная электростимуляция;
- парафиновые аппликации;
- ударно-волновая терапия;
- ионотерапия;
- гидротерапия;
- грязелечение;
- магнитная терапия.
Дополнительно для общего оздоровления доктор может назначить электросон и употребление кислородных коктейлей. Хорошо снять отечность после ношения гипсовой повязки помогает мануальная терапия, однако это должен делать специально обученный медицинский сотрудник — мануальный терапевт, знающий расположение активных точек на теле человека.
Курс массажа
Массаж после перелома лодыжки является обязательным в период реабилитации. Его можно делать самому в домашних условиях, однако намного лучше, если эту процедуру будет проводить квалифицированный специалист. Область травмы после сращения кости массируют, благодаря чему увеличивается приток крови к суставу, что положительно сказывается как на мышечной ткани, так и на самой кости. Когда проходит реабилитация, перелом быстрее заживает, если для массажа используются различные масла и крема.
Лечебная физкультура
ЛФК при переломе — практически основной пункт восстановления. Благодаря упражнениям и физическим нагрузкам на ногу, человек может вернуться к активному образу жизни в самый короткий период. По окончанию лечения доктор расскажет и покажет, как разработать ногу после перелома с помощью различных упражнений.
Комплекс занятий всегда разрабатывается в индивидуальном порядке, однако есть самые распространенные упражнения, назначаемые врачами во время реабилитации:
- Сгибать и разгибать ногу в голеностопном суставе;
- Делать вращательные движения стопой;
- Катать ступней небольшой резиновый мячик;
- Положив мячик между голенью и тыльной стороной стопы, тянуть на себя носок ноги;
- Ходить на внутренней и внешней стороне подошвы, а также на пятках и носочках;
- Делать перекаты с пятки на носок и обратно.
При разработке голеностопа нагружать ногу следует постепенно. При возникновении дискомфорта или болей в момент выполнения упражнений, следует остановиться и продолжить немного позже, снизив интенсивность и нагрузку. Зная, как разработать голеностоп и выполняя рекомендации лечащего доктора, можно быстро вернуть нижней конечности функциональность и уберечь себя от последствий.
