Первая помощь при переломах конечностей
Пострадавшему нужно сразу же оказать первую медицинскую помощь
Важно: правильные действия в первые моменты после травмы помогут избежать травматического шока, а также осложнений при дальнейшем лечении
Что нужно сделать в первую очередь:
Оценить повреждения, их тяжесть и общее состояние пострадавшего.
Остановить кровотечение, обеззаразить рану.
Дать пострадавшему обезболивающее.
При необходимости переместить пострадавшего в более удобное положение, в котором он сможет дождаться скорой помощи
Перед этим важно оценить, возможна ли транспортировка: нельзя как-либо двигать пациентов при переломе позвоночника.
Обездвижить поврежденный участок, наложить шину из подручных средств.. Если самостоятельная транспортировка пострадавшего невозможна, после оказания помощи необходимо сразу же вызвать скорую помощь
Если самостоятельная транспортировка пострадавшего невозможна, после оказания помощи необходимо сразу же вызвать скорую помощь.
https://youtube.com/watch?v=E4O9Z_36YYU
Остановка кровотечения
При открытом повреждении костей может открыться сильное венозное или артериальное кровотечение. Его нужно остановить, используя медицинский жгут или использовать для этого подручные средства: ремень, галстук, кусок ткани от одежды.
Перед тем как накладывать жгут, нужно определить тип кровотечения. Сделать это можно по цвету крови и скорости её выделения:
- Венозное кровотечение — кровь течет медленно, равномерно, имеет темный окрас. Жгут нужно наложить под местом травмы.
- Артериальное кровотечение — кровь ярко-красная, бьет из раны рывками. Жгут накладывают сверху травмированной зоны.
Важно: скорая помощь может приехать не сразу после вызова. Чтобы не дать конечности отмереть, жгут нужно ослаблять каждые 1,5 часа, а потом снова затягивать
Поэтому время наложения жгута следует записать и не забыть сообщить его врачам скорой помощи.
Обработка ран
Чтобы избежать заражения крови, рану при открытой травме нужно быстро обработать антисептическим средством и наложить стерильную повязку. Для этого подойдет обычная перекись водорода. После этого место травмы нужно обездвижить.
Иммобилизация
Иммобилизация или фиксация поврежденной кости – основной вид медицинской помощи при переломах. На травмированные конечности накладывают шину – твердую накладку, которую можно сделать из подручных средств, например, деревянной доски. При отсутствии подходящих материалов нижние конечности можно связать вместе, при этом здоровая будет служить шиной для поврежденной, а верхнюю подвесить на платке, шарфе или бинте, обвязав его вокруг шеи. Это позволит избежать смещения обломков кости и дальнейших осложнений при транспортировке больного.
Обезболивание
При сильном болевом синдроме необходимо дать пациенту обезболивающие препараты – анальгин, кеторол, ибупрофен. Перед тем как проводить какие-то манипуляции с поврежденной областью: накладывать шину или пытаться её пальпировать, сделать это нужно обязательно иначе пострадавший может потерять сознание от болевого шока.
Местные клинические признаки
Клинические проявления в участке травмы возникают в результате действия травмирующего фактора и последующего повреждения костными отломками мягких тканей (мышц, сосудов, нервов). К ним относится боль, отек, образование гематомы или гемартроз, деформация конечности, нарушение иннервации, ухудшение оттока крови и лимфы.
Болевой синдром
Боль различной степени выраженности – первый и постоянный признак перелома костей. При тяжелых повреждениях крупных трубчатых костей, позвоночника, суставов болевой синдром отличается высокой интенсивностью, что заставляет пациентов обращаться за медицинской помощью сразу после травмы. В случае неполных переломов по типу трещины боли слабые и ноющие, усиливаются при движении. Такие больные не сразу обращаются к врачу, продолжают вести обычный образ жизни. Это приводит к развитию осложнений и ухудшает заживление перелома.

Интенсивность болей зависит от индивидуального порога болевой чувствительности. Люди с лабильной психикой плохо переносят болевые ощущения, что повышает риск развития травматического шока. Пострадавшие в алкогольном или наркотическом опьянении в момент травмы слабо ощущают болевые раздражители. В таких случаях интенсивность болей не всегда отражает тяжесть повреждения костной ткани.
Отек, кровоизлияние, гемартроз
После травмы в течение нескольких часов возникает сглаженность контуров и утолщение конечности. Это происходит за счет нарушения кровообращения и оттока лимфы, что вызывает отечность в области перелома. Отек наиболее выражен в участках тела, не прикрытых мышцами, с хорошо развитой подкожно-жировой клетчаткой.
В результате травмы костей часто возникают кровоизлияния:
- подкожные,
- поднадкостничные,
- межмышечные,
- подфасциальные,
- внутрисуставные (гемартроз).

Подкожные гематомы образуются в течение часа после травмы и легко определяются при осмотре области повреждения. Межмышечные и подфасциальные кровоизлияния могут формироваться на некотором расстоянии от травы вследствие перемещения излившейся крови между фасциями или мышечными волокнами. Гемартроз вызывает растяжение капсулы сустава, увеличивает его объем и нарушает двигательную функцию руки или ноги. Гематомы могут нагнаиваться с образованием флегмоны, что усложняет течение патологического процесса и ухудшает общее состояние больных.
Деформация конечности
Деформация поврежденной руки или ноги возникает при открытых переломах и закрытых травмах, которые сопровождаются смещением костных отломков. Нарушение анатомической целостности кости возникает при раздробленных или оскольчатых повреждениях, а также при значительном смещении отломков под действием тяги крупных мышц. Изменению формы и объема конечностей способствует формирование гематом и кровоизлияния в суставы.
Нарушение иннервации, оттока крови и лимфы
Сдавливание отломками кости или гематомой периферических нервов приводит к нарушению чувствительности и двигательной активности конечностей. По характеру неврологической симптоматики можно определить, какие нервные стволы повреждены патологическим процессом. Компрессия кровеносных сосудов и лимфатических путей вызывает застойные явления и нарушение кровотока (ишемию).
Клинические симптомы нарушения оттока крови и лимфы:
- побледнение кожных покровов, мраморный рисунок кожи;
- снижение местной температуры, похолодание конечностей;
- отечность;
- снижение болевой чувствительности;
- трофические нарушения (сухость кожи, разрушение ногтей);
- слабая пульсация или отсутствие пульса на периферических сосудах рук или ног.

Нарушение со стороны кровотока и микроциркуляции вызывает ухудшение двигательной активности конечности, в тяжелых случаях приводит к формированию гангрены.
Как оказать помощь?
В первую очередь, необходимо провести обезболивание, чтобы избежать развития болевого шока — состояния крайне опасного не только для здоровья, но и для жизни пострадавшего. Для этих целей используются обезболивающие препараты, анальгетики. Причем наиболее быстрый результат дает инъекционное введение.
К пораженному участку можно приложить ледяной компресс, с целью уменьшения болезненных ощущений, предотвращения гематом и отеков. При открытом переломе, прежде всего, потребуется остановить кровотечение. После этого проводится иммобилизация, позволяющая уменьшить болевой синдром и предотвратить возникновении шокового состояния.
Специалисты-травматологи выделяют следующие правила иммобилизации при переломах:
Перед наложением шины больному необходимо ввести препарат-анальгетик.
Когда перелому сопутствует открытая рана, необходимо обработать ее с помощью антисептического раствора, во избежание возможного инфицирования, после чего закрыть чистой стерильной повязкой.
При наличии соответствующих показаний накладывается жгут, под который следует обязательно поместить записку с точным временем наложения, для предупреждения процессов некротического характера.
Средства для иммобилизации накладываются поверх одежды или обуви. Не нужно снимать их с пострадавшего, это может спровоцировать дополнительное травмирование. В любом случае, на тех участках, где шина соприкасается с кожными покровами, необходимо подложить мягкую ткань, марлевую повязку. Это смягчает давление на суставы, снижает риски пережатия кровеносных сосудов, следовательно, и онемения, нарушения кровообращения, кровоснабжения поврежденного участка, обескровливания.
Следует избегать слишком тугого бинтования шины, поскольку это чревато нарушением процессов кровообращения и развитием целого ряда опасных осложнений
Необходимо добиться фиксации, позволяющей обеспечить абсолютную неподвижность поврежденного костного участка и расположенных около него суставов.
В процессе иммобилизации важно действовать точно и аккуратно, чтобы не сдвинуть, не сместить костные обломки.
В случае выпячивания сломанной кости, необходимо накладывать шину с другой стороны, не предпринимая попыток исправления костной деформации, поскольку такие действия повышают риски развития шокового состояния.
При необходимости, подгонку шины человек, оказывающий первую помощь, проводит на себе. Делать подобные манипуляции на потерпевшем категорически противопоказано, поскольку они могут привести к смещению костного участка и дополнительному травмированию мягких тканей
При этом шина моделируется с ориентиром на здоровую конечность больного.
При наложении на верхние или нижние конечности шина должна захватывать суставы, локализованные выше и ниже травмированного участка.
Пальцы рук или ног должны оставаться открытыми, чтобы была возможность контролировать процессы кровообращения в области повреждения.
Необходимо стараться зафиксировать конечность в физиологическом, функциональном положении (исключение составляют травмы эпизифов, разрывы сухожилий).
При наличии костных выступов рекомендуется проложить под шину ватный или же марлевый слой, для предупреждения пролежней, натертостей и т.д.
В осенне-зимний период иммобилизованный участок нужно обязательно утеплить, чтобы предупредить возможное обморожение.
Специалисты рекомендуют проводить данную процедуру вдвоем — это более удобно и позволяет действовать максимально точно. Например, в процессе перекладывания больного помощник сможет придерживать травмированную конечность.
Перелом длинных трубчатых костей
Перелом — нарушение целости кости под действием травмирующей силы. Наиболее часто происходят переломы длинных трубчатых костей — бедренной кости, плечевой кости, костей предплечья и костей голени. Переломы длинных трубчатых костей по локализации делят на диафизарные, метафизарные и эпифизарные. Патофизиология
- Большинство переломов связано с падениями, несчастными случаями при занятиях спортом и др.
- У людей с хрупкими костями, ослабленными вследствие патологических процессов, например при остеопорозе, перелом может произойти даже при. несильном ударе.
- Переломы у детей заживают быстрее.
- У пожилых людей кости при переломе могут срастаться неправильно.
- Массивные открытые переломы могут привести к гиповолемическому шоку вследствие большой кровопотери и к жировой эмболии.
Первичный осмотр
- Проверьте пульс.
- Пропальпируйте кожу вокруг повреждения. Отметьте области с низкой температурой.
- Проверьте жизненно важные параметры пациента, отметьте наличие или отсутствие гипотонии, тахикардии.
- Проверьте историю болезни пациента, есть ли в ней сведения о травме.
- Попросите пациента описать характер боли.
- Осмотрите, есть ли опухоль в районе повреждения.
- Проверьте, есть ли другие раны у пациента,
- Отметьте признаки перелома.
Первая помощь
- При серьезных переломах примите меры для остановки кровотечения и как можно скорее начните переливание крови во избежание гиповолемического шока из-за большой кровопотери.
- Зафиксируйте конечность выше и ниже предполагаемого места перелома.
- Сделайте холодный компресс.
- Приподнимите поврежденную конечность, чтобы уменьшить отек»
- Для открытых переломов, наряду со всеми клиническими признаками перелома со смещением отломков, обязательно наличие раны кожи, артериальное, венозное, смешанное или капиллярное кровотечение, выраженное в разной степени. Сломанная кость может быть обнажена на большем или меньшем протяжении. При множественных, сочетанных, открытых переломах общее тяжелое состояние пострадавших часто обусловлено травматическим шоком.
- Подготовьте пациента к рентгенологическому исследованию.
- Подготовьте пациента к хирургической операции.
- По показаниям врача введите:
- внутривенные растворы, чтобы увеличить внутрисосудистый объем; анальгетики для уменьшения боли; противостолбнячные средства (при открытых переломах);
- антибиотики для лечения/предотвращения инфекции;
- слабительные для предотвращения запоров.
Последующие действия
- После устранения смещения.
- Проверяйте нервно-сосудистый статус пациента каждые 2—4 часа в течение суток, далее каждые 4—8 часов.
- Оцените цвет кожи поврежденной конечности, отечность.
- Сравните состояние обеих конечностей.
- Научите выполнять упражнения во избежание пролежней.
- Поощряйте пациента глубоко дышать. При гипсе.
- Следите за состоянием гипса.
- Следите за появлением раздражения вокруг кожи около гипса.
- Попросите пациента сообщать о таких явлениях, как покалывание, нечувствительность кожи.
Превентивные меры
- Посоветуйте пациентам соблюдать диету с высоким содержанием кальция, белков, витамина D, регулярно выполнять физические упражнения.
- Необходима пропаганда соблюдения правил лич ной безопасности.
Как долго заживает перелом
В зависимости от того, какая кость была повреждена, время восстановления полной анатомической целостности кости варьируется. Считается, что трубчатые кости, в силу специфики своего строения, заживают быстрее. Однако, размер играет важную роль. Так, например, на полное заживление лучевой кости уходит приблизительно 1 месяц. Большая берцовая восстанавливается в течение 2 -2,5 месяцев. На малую берцовую кость уходит немногим меньше времени – 1,5 – 2 месяца. Восстановление тазобедренных костей занимает более длительное время – не менее 3 месяцев. На временной фактор также влияют другие особенности:
- Наличие осложнений. Повреждения суставной капсулы, наличие отломков, множественность повреждений, травмирование крупных сосудов и нервов значительно удлиняют реабилитационный период.
- Соблюдение назначений врача. Выполнение упражнений ЛФК, регулярные процедуры могут ускорить выздоровление. И наоборот, несоблюдение назначений увеличивает срок реабилитации.
- Особенности текущего общего состояния. Простудные, хронические и прочие заболевания снижают защитный и восстановительный потенциал организма.
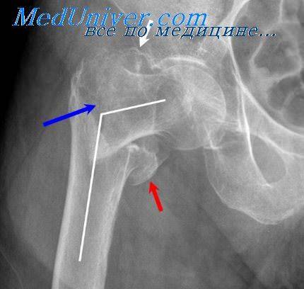
Переломы трубчатых костей. Возрастные особенности переломов
При переломах трубчатых костей часто отмечаются следующие виды смещений отломков: 1) боковое, или по ширине; 2) продольное с захождением и расхождением отломков; 3) угловое, или по оси; 4) ротация отломков вокруг продольной оси конечности. Обычпо смещение отломков происходит одновременно в нескольких плоскостях и направлениях. При смещении отломков возможно ущемление между ними мышц, сосудов, нервов (интерпозиция тканей). Переломы могут сопровождаться взаимным смещением суставных поверхностей — вывихами или подвывихами. Эти переломы относятся к группе переломовывихов.
Множественный перелом — это одновременный перелом двух или более костей. Перелом, при котором образовалось более двух костных отломков, обозначают оскольчатым. При раздробленном переломе разрушается значительный участок кости с образованием множества отломков.
У детей травматические переломы имеют свои особенности. Перелом, как правило, носит изолированный характер. Перелом верхних конечностей наблюдается в два раза чаще, чем нижних. Наблюдаются также травматические эпифизиолизы и апофизиолизы, например эпифизиолизы в области проксимального конца плечевой кости, дистального конца лучевой или бедрепной кости. Это передко заканчивается отставанием роста соответствующего сегмента конечпости.
При трансэпифизарных переломах дистального конца большеберцовой кости повреждается медиальный отдел ростковой зоны. Это, как правило, служит причиной отставания роста медиального края большеберцовой кости с последующей варусной деформацией голеностопного сустава. Кости детей более гибкие, поэтому довольно часто наблюдаются поднадкостничные переломы по типу «зеленой ветки» или «ивового прута». При них нарушается целость кортикального слоя, а целость надкостницы сохраняется.
У людей пожилого и старческого возраста на фоне сенильного остеопороза переломы возникают при сравнительно небольшой травме. В основпом это переломы шейки бедренной кости и вертельной области, хирургической шейки плечевой кости, позвоночника, предплечья в типичном месте и некоторые другие. Из-за хрупкости костей переломы, как правило, оскольчатые, края отломков заостренные, что способствует рапепию сосудов и развитию кроветечений в зоне перелома.
Сроки заживления перелома — зависят от нескольких факторов, в частности является ли повреждение открытым, осложненным или закрытым, неосложненным, правильно ли сопоставлепы концы отломков, достигнута лн устойчивая их фиксация. Немаловажпое значепие имеет восстановление кровоснабжения в зопе перелома. Для оценки динамики заживления переломов костей и своевременного выявления его нарушений рентгенологическое исследование целесообразно проводить через 7, 14 и 30 дней после начала лечения.
При оптимальном, благоприятном сочетании перечисленных факторов наступает первичное заживление костного перелома. Термином «первичное заживление» обозначают один из видов прямого, т. е. без участия фиброзной и хрящевой тканей, заживления, при котором репаративный процесс происходит с формированием небольшого по объему регенерата, сращение наступает быстро с восстановлением нормальной структуры н функции поврежденной кости.Необходимое условие первичпого заживления — устойчивый остеосинтез отломков. При этом между отломками должна оставаться щель размером 0,1— 3 мм.
Наличие щели между отломками определяет раннее появление интермедиарной мозоли со «сцеплением» концов отломков остеобластической и костной тканью.Компрессия и взаимодавлепие отломков значительно замедляют сращение ран компактной кости. Напротив, в губчатой кости, имеющей широкие промежутки между перекладинами, взаимодавление способствует заживлению костных ран. Оптимальные для первичного заживления переломов условия создаются при применении аппаратов Илизарова и Сенио.
— Также рекомендуем «Вторичное заживление костей. Осложненные переломы»
Оглавление темы «Переломы костей. Рентгенологические признаки переломов»:1. Дистальная и проксимальная эктромелии. Патология пальцев и конечностей2. Нарушение количества пальцев. Расщепление кисти и синдактилия3. Симфалангия и патология стопы. Множественные пороки скелета4. Травмы скелета. Переломы костей скелета5. Переломы трубчатых костей. Возрастные особенности переломов6. Вторичное заживление костей. Осложненные переломы7. Огнестрельные переломы. Патологические переломы8. Патологическое заживление переломов. Ложный сустав — псевдоартроз9. Переломы пояса верхней конечности. Переломы костей верхних конечностей10. Переломы костей таза и тазобедренного сустава. Переломы бедра, костей коленного сустава
Причины появления
Непосредственной причиной нарушения структуры кости является силовое воздействие, которое способно ее разрушить. Для молодых людей угрозу представляет падение или прямой удар, в пожилом возрасте нарушение целостности происходит при незначительном характере травмы. Виной всему патологический процесс, снижающий характеристики прочности костной ткани.
Тяжелые повреждения могут появиться в результате:
- прямого удара;
- падения;
- во время аварии на дороге;
- стихийных бедствий – землетрясения;
- крупных техногенных катастроф – обрушение дома, авария на производстве.
Помимо травматического фактора, большую часть причин, вызывающих переломы костей, занимает негативное влияние патологического процесса. Хрупкость кости развивается по следующим причинам:
- дефицит минеральных соединений при остеопорозе;
- воспалительное поражение с гнойно-некротическим процессом – остеомиелит;
- наследственные патологии, когда костная ткань замещается хрящевой;
- размягчение кости – остеомаляция;
- плохо зажившая застарелая травма;
- инфекционное поражение – туберкулез;
- злокачественные новообразования.
Косвенное влияние на структуру оказывают эндокринные патологии (сахарный диабет, нарушения работы щитовидной железы), а также никотин, который вызывает спазм сосудов и нарушение кровоснабжения.
Первая помощь при переломах: порядок действий
Если случаются переломы костей конечностей, первая помощь позволяет в два раза снизить вероятность их осложнений, а в некоторых случаях даже спасти жизнь. Главное, чтобы все мероприятия проводились правильно и своевременно.
После следует доставить пострадавшего в больницу или обеспечить прибытие врачей на место происшествия.
Как оказывается первая помощь при переломах конечностей? В общем виде оказание помощи осуществляется следующим образом:
- Следует дать объективную оценку состоянию пострадавшего, убедиться в наличии перелома и определить дальнейший порядок действий. Оказание первой помощи при переломах конечностей проводится только в том случае, если пациент уже находится в безопасности.
- Если пострадавший без сознания и не дышит, первым делом следует провести реанимационные мероприятия и привести его в чувство.
- При открытых переломах необходимо сначала остановить кровотечение и обработать рану антисептиком во избежание инфицирования, по возможности желательно наложить стерильную повязку.
- Если имеются в наличии медикаменты, следует обезболить поврежденную конечность, сделав укол кеторолака (1 ампула), новокаина (5 мл) или другого подходящего средства.
- Необходимо иммобилизовать конечность и вызвать «скорую». В некоторых случаях допускается самостоятельно доставить пострадавшего в медицинское учреждение.
Классификация переломов
1.1 относительно анатомической локализации:
1.1.1. переломы проксимальной части
- суставные (требуют раннего оперативного вмешательства)
- эпифизарные
- в области ростковой зоны (метафизарные)
1.1.2. переломы диафиза
1.1.3. переломы дистальной части (аналогично проксимальной)
1.2 наличие внешней раны:
1.2.1. закрытые переломы, при которых поверхностные слои кожи остаются неповреждёнными
1.2.2. открытые переломы (три степени) — имеется связь между участком перелома и раной кожи
1.3 относительно степени повреждения кости:
1.3.1. полный перелом — целостность кости полностью нарушена; часто со смещением отломков
1.3.2. неполный перелом — целостность кости частично сохранена (например, перелом по типу «зелёной ветки» у молодых животных или трещины кости у взрослых)
1.4 относительно плоскости перелома:
1.4.1. поперечный1.4.2. косой1.4.3. спиральный1.4.4. оскольчатый1.4.5. двойной (множественный)
1.5 относительное смещение костных фрагментов:
1.5.1. отрывной перелом (авульсия)1.5.2. вколоченный перелом1.5.3. компрессионный перелом1.5.4. вдавленный перелом
1.6 относительно стабильности перелома:
1.6.1. устойчивые переломы (поперечные, тупые /короткие/, косые, по типу «зелёной ветки»). Иногда требуется фиксация для предотвращения угловой деформации
1.6.2. неустойчивые переломы (косые, спиральные, оскольчатые). Необходима фиксация для сохранения длины кости и предотвращения угловой деформации
При лечении переломов важно соответствовать принципам АО (Ассоциация по изучению вопросов остеосинтеза):
анатомическая репозиция (особенно важно при лечении внутрисуставных переломов)
стабильная фиксация (использование накостного металлоостеосинтеза, спицевых или стержневых аппаратов внешней фиксации или комбинированных способов)
бережное отношение с мягкими тканями, окружающими перелом — атравматичность (важно сохранить кровоснабжение костных отломков)
ранняя активная мобилизация мышц (ранняя нагрузка и активные движения являются мощным естественным фактором, поддерживающим репаративный остеогенез на высоком уровне).








