Реабилитация
Вывих тазобедренного сустава – достаточно тяжелая травма. Скорость и эффективность восстановление функции поврежденной ноги и работоспособности пациента во многом зависят от того, насколько своевременно и правильно проводится реабилитационное лечение. У пациентов, которые прошли реабилитацию, результаты всегда лучше, чем у тех, кто лишь ограничился лечением в стационаре.
Реабилитационные мероприятия:
| Название | Описание |
| Массаж | Этот вид реабилитационного лечения начинают применять первым. Сначала массажист оказывает лишь легкое воздействие: поглаживание, растирание. В дальнейшем массаж делают более интенсивно.Цели массажа:
|
| Лечебная физкультура | Занятия лечебной физкультурой начинают в максимально ранние сроки, пока больной еще находится на постельном режиме. Этапы лечебной физкультуры:
|
| Физиотерапия | Курс физиотерапевтического лечения подбирается для каждого пациента индивидуально. Это зависит от тяжести травмы, вида лечения вывиха, возможностей клиники.Основные методы физиотерапии, которые применяются при реабилитационном лечении вывиха бедра:
|
| Санаторно-курортное лечение | На состояние пациента благотворно влияют лечебные грязи, термальные воды и другие лечебные факторы, которые используются в санаториях и на курортах. |
Причины
Клиническая картина
Признаки врожденного вывиха бедра не являются специфическими. Даже опытный ортопед не диагностирует заболевание только после осмотра пациента. На патологию может указывать разная длина ног из-за смещения головки бедренной кости. Для ее обнаружения детский ортопед укладывает новорожденного на горизонтальную поверхность и сгибает ноги в коленях, располагая пятки на одном уровне. Если одно колено выше другого, то ребенку показано дальнейшая инструментальная диагностика. Для патологии характерны такие клинические проявления:
- ассиметричное расположение ягодичных и ножных складок. Для осмотра врач укладывает новорожденного сначала на спину, затем переворачивает на живот. При нарушении ассиметричного расположения складок и их неодинаковой глубине существует высокая вероятность дисплазии. Этот симптом также неспецифичен, а иногда вообще является анатомической особенностью. У крупных младенцев на теле всегда много складок, что несколько затрудняет диагностику. К тому же иногда подкожная жировая клетчатка развивается неравномерно, и впоследствии ее распределение нормализуется (обычно через 2-3 месяца);
- объективный признак заболевания — резкий, немного приглушенный щелчок. Этот симптом проявляется в положении лежа на спине с разведенными ногами. Характерный щелчок слышится при отведении поврежденной конечности в сторону. Причина его возникновения — вправление бедренной кости в вертлужную впадину, принятие тазобедренным суставом анатомически правильного положения. Щелчок сопровождает и обратный процесс, когда ребенок совершает пассивное или активное движение, и головка ведра выскальзывает из вертлужной впадины. По достижении детьми 2-3 месяцев этот симптом утрачивает свою информативность;
- у детей с врожденным вывихом бедренного сустава после 2 недель жизни возникает ограничение при попытке отвести ногу в сторону. У новорожденного связки и сухожилия эластичные, поэтому в норме можно отвести его конечности таким образом, чтобы они легли на поверхность. При повреждении сочленения отведение ограничено. Иногда наблюдается псевдоограничение, особенно при обследовании грудничков до 4 месяцев. Оно происходит за счет возникновения физиологического гипертонуса, также требующего коррекции, но не столь опасного, как вывих.
Если по какой-либо причине патология не была своевременно диагностирована, то она может затронуть расположенные вблизи бедра мягкие ткани. Например, врожденный вывих у детей старше полутора лет клинически проявляется плохим развитием мышц ягодиц. Ребенок старается стабилизировать тазобедренный сустав и раскачивается во время движения, его походка напоминает «утиную».
Рецепты лечебных ванн на травяных отварах
Лечение врожденного вывиха бедра
При своевременном начале лечения применяется консервативная терапия. Используется специальная индивидуально подобранная шина, позволяющая удерживать ножки ребенка отведенными и согнутыми в тазобедренных и коленных суставах. Своевременное сопоставление головки бедра с вертлужной впадиной создает нормальные условия для правильного развития сустава. Чем раньше начинается лечение, тем лучших результатов удается добиться.
Лучше всего, если лечение начинается в первые дни жизни малыша. Начало лечения дисплазии тазобедренного сустава считается своевременным, если ребенку еще не исполнилось 3 месяца. Во всех остальных случаях лечение принято считать запоздалым. Тем не менее, в определенных ситуациях консервативная терапия достаточно эффективна и при лечении детей старше 1 года.
Самые хорошие результаты при хирургическом лечении данной патологии достигаются, если ребенок был прооперирован в возрасте до 5 лет. В последующем, чем старше ребенок, тем меньшего эффекта стоит ожидать от операции.
Операции при врожденном вывихе бедра могут быть внутрисуставными и внесуставными. Детям, не достигшим подросткового возраста, проводят внутрисуставные вмешательства. В процессе операции углубляют вертлужную впадину. Подросткам и взрослым показаны внесуставные операции, суть которых заключается в создании крыши вертлужной впадины. Эндопротезирование тазобедренного сустава проводится в тяжелых и поздно диагностированных случаях врожденного вывиха бедра с выраженным нарушением функции сустава.
Причины вывиха бедра у взрослых
Симптомы данной патологии
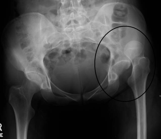
Вывих тазобедренного сустава имеет четко выраженные симптомы. Врачи утверждают, что при получении такой травмы спутать ее с каким-либо другим заболеванием практически нереально. Данную патологию обычно диагностируют без проведения дополнительных обследований. Некоторым пациентам для исключения наличия переломов тазобереднной кости может быть назначена рентгенография ТБС, которая проводится в двух проекциях. Также назначается МРТ в тех случаях, когда лечащие врачи имеют сомнения при определении точного диагноза.
Существуют симптомы, которые точно позволяют определить наличие вывиха тазобедренного сустава у взрослых. Выделяют следующие наиболее выраженные признаки патологии:
- наличие сильной боли при каждой попытке движения нижней конечностью;
- в области сустава визуализируется выраженная деформация;
- нестерпимые болевые ощущения в месте проекции ТБС;
- нога имеет неестественное положение;
- невозможно передвигаться, сгибать ногу в бедре;
- кровоизлияние в области паха и ягодиц.
В медицине вывихи ТБС классифицируются в зависимости от времени получения и возникновения травмы. Выделяют следующие вывихи:
- свежие — менее 3 дней;
- несвежие — от 3 дней до 3 недель;
- застарелые — более 3 недель.
Для последнего вида вывиха свойственно заметное утолщение капсулы ТБС. Также при получении такой патологии суставы соединительной ткани разрастаются в пространстве. Застарелые вывихи очень сложно поддаются лечению. Чаще всего, пациенту с такой патологией назначают операционное вмешательство. Если у больного застарелый вывих бедренной кости, то симптомы уже выражены менее ярко. Проходит сильная боль в бедре и паху, что позволяет пациенту немного расслабиться. Кроме того, полученная деформация визуализируется уже не так сильно.
При таком вывихе некоторые люди начинают ходить и передвигаться самостоятельно, но сустав все также остается травмированным. Такое игнорирование патологии приводит к более серьезным осложнениям. У больного с застарелым вывихом ТБС идет очень большая нагрузка на позвоночник. Это связано с асимметрией нижних конечностей, которая возникает как следствие смещения. Она приводит к перекосу кости таза.
При появлении первых признаков травмы бедренной кости, необходимо незамедлительно обращаться за помощью в медицинские учреждения. Лечение в домашних условиях абсолютно непригодно, такая патология требует наблюдения и лечения у профессиональных специалистов.
Вывих ТБС это не та болезнь, которую можно вылечить самостоятельно, она не пройдет сама собой. Несвоевременное обращение за скорой медицинской помощью может привести к очень неприятным последствиям. Также стоит помнить, что свежий вывих гораздо легче вылечить, нежели застарелый. От первого избавляются с помощью вправления бедренной кости, а для лечения застарелого вывиха придется ложиться на хирургический стол. Также некоторые врачи при наличии застарелого вывиха устанавливают специальный эндопротез.
Методы лечения
Лечение при вывихе шейки бедра подразумевает вправление бедра, которое делают под общим наркозом. Если травма свежая, то используют способ Джанелидзе. Пациент должен лежать на столе лицом вниз со свешенной конечностью. Один из врачей должен зафиксировать руками таз, прижимая его к столу
Поврежденную конечность осторожно сгибают в тазобедренном и коленном суставах и затем отводят
Врачу необходимо переместить бедро вперед и произвести несколько ротационных движений. При вправлении бедра будут раздаваться щелчки, также восстановятся пассивные движения в суставе. Такую процедуру проводят только после полного обследования, так как возможен еще и перелом, а не только вывих вертлужной впадины.
В случае несвежей травмы рекомендуется для вправления способ Кохера:
- уложить пациента на спину;
- зафиксировать таз, придавливая его к поверхности стола;
- до максимума отвести ногу и согнуть в тазобедренном суставе;
- осуществить вытяжение по оси для выхода бедренной головки из-за заднего края вертлужной впадины;
- при помощи ротации плавным движением установить головку бедра напротив впадины;
- продолжая вытяжение быстро разогнуть ногу, отвести и сделать ротацию к внутренней стороне.
В результате вывих устраняется. После манипуляции следует сделать рентген. Если устранить вывих с первого раза не получилось, необходимо процедуру повторить еще раз. После вправления вывиха, следует разгрузить сустав с помощью скелетного вытяжения. Это необходимо для предупреждения асептического некроза головки бедренной кости. Длительность такого лечения обычно составляет не менее месяца.
Своевременно оказанная помощь поможет быстрому восстановлению поврежденного сустава. В первые дни после травмы нужно пользоваться обезболивающими гелями. Противовоспалительные мази назначают только после того, как спадет острая боль.
Травматологи обычно назначают следующие препараты:
- Вольтарен;
- Быструмгель;
- Венорутон;
- Фастум-гель.
Благодаря противовоспалительному и болеутоляющему действиям, уменьшается отечность и снижается болевой порог. При вывихе бедра лечение и подбор необходимой мази выполняет травматолог. Категорически запрещается заниматься самолечением. Неквалифицированная помощь может только привести к ухудшению положения больного.
Во время реабилитации также назначают физиотерапевтические процедуры. Пациенту делают массаж и посылают на лечебную гимнастику для тазобедренного сустава. Что касается врожденного вывиха бедра, есть специальные упражнения, которые предлагают больному на ЛФК.
Если у пациента диагностирован вывих бедра с переломом вертлужной впадины, пациента обследуют на наличие больших отломков сустава и их смещения. В таком случае понадобится хирургическое вмешательство. Операцию необходимо делать в кратчайшие сроки, не позднее чем через две недели после получения травмы.
Показаниями к обязательному вмешательству являются:
- признаки повреждения седалищного нерва;
- открытый перелом;
- смещение бедренной головки к центру;
- неподдающийся к вправлению задний вывих бедренной кости;
- существенная отслойка мягких тканей.
Если у пациента диагностирован травматический шок, сначала проводятся мероприятия для стабилизации его состояния. Вывихи и переломы бедра очень опасны, они требуют тщательного обследования и контроля со стороны травматолога.
Подкаст дня
Диагностика
Наблюдать за новорожденным начинают с первых дней жизни. Сразу после родов его осматривает врач‐педиатр. В плановом порядке в условиях поликлиники малыша наблюдает ортопед или хирург в 1, 3, 6, 12 месяц жизни. При подозрении на подвывих тазобедренного сустава специалист направляет новорожденного на диагностические исследования. К наиболее достоверным способам относятся рентгенодиагностика и ультрасонография.
Рентгенодиагностика
Рентгенодиагностика является базовым методом определения подвывиха тазобедренного сустава у новорожденных. Возраст, когда ребенку нужно проводить рентгенодиагностику, окончательно не определен, но большинство врачей рекомендуют делать рентген после 3 месяцев жизни, поскольку до этого возраста большинство элементов еще сохраняют хрящевую структуру и не видны на рентгенограммах. Основным показанием, при котором рентгенограммы делают независимо от возраста, являются признаки подвывиха бедра.
Чтобы результат был достоверным, важна правильная укладка новорожденного. Он должен лежать ровно, ости подвздошных костей должны располагаться на одном уровне, а надколенники смотреть кверху и лежать параллельно. Во время проведения исследования удерживать новорожденного должен взрослый, чтобы не произошло его смещение. При несоблюдении этих рекомендаций результат может быть ложным.
Чтение и расшифровка рентгенограмм осуществляется врачом‐рентгенологом. При осмотре оценивают контур вертлужной впадины, расположение головки бедра. Основными ориентирами на рентгенограмме являются:
-
Угол α. Он определяется путем проведения двух линий. Первая линия направлена горизонтально. Она проходит по нижнему краю крыши вертлужной впадины. Вторая линия имеет косое направление и идет по краю хрящей таза до горизонтальной линии. В норме угол, который они образуют, составляет от 20 до 30°, а при наличии патологии он увеличивается и становится более 30º.
- Высота h. Линия, которая проводится от центра вертлужной впадины к горизонтальной линии, проведенной ранее. В норме показатель составляет 1 см. При наличии подвывиха его значение меньше.
- Показатель d. Эта линия проводится от внутреннего края бедра до седалищной кости. В норме его величина не превышает 5 мм. Значение больше пяти говорит о том, что имеется отклонение головки бедра кнаружи, и у ребенка есть признаки дисплазии.
- Линия Шентона. Она проводится по медиальному (внутреннему) краю головки бедренной кости и переходит на верхний край лобковой кости. В норме линия имеет дугообразную форму, а при наличии патологии появляются изломы.
-
Линия Кальве. Проводится по наружному краю подвздошной кости таза с переходом на верхне‐наружный край головки бедра. В норме она также имеет дугообразную форму. При дисплазии ход линии приобретает изломы.
- Схема Хильгенрейнера‐Омбредана‐Перкенса. Она позволяет определить расположение головки бедра, на основании которой устанавливается диагноз. На рентгенограмме проводятся все основные ориентиры, описанные ранее. Далее от наружного края вертлужной впадины до бедра проводят вертикальную линию Омбредана, которая проходит через линию Хильгенрейнера до бедра. В результате тазобедренный сустав разделяется двумя взаимоперпендикулярными линиями на четыре части. В норме головка бедра должна находиться в верхнем внутреннем квадранте. При наличии патологии она смещена в наружные верхний или нижний квадрант.
Ультрасонография
Лучший метод диагностики патологий тазобедренного сустава у новорожденных детей, поскольку он безопасен и в ранние сроки позволяет установить диагноз. Ребенка укладывают сначала на один бок и сгибают ноги в тазобедренных суставах до 20–30º, затем на другой бок.
Всего выделяют 4 типаПервый типПри втором типеТретий типЧетвертый тип
Врожденные аномалии
Причины, которые вызывают патологию
Диагностика
Диагноз выставляют на основании результатов осмотра и данных дополнительных исследований. Для исключения скелетной патологии и выявления возможной причины развития синовита назначают рентгенографию тазобедренного сустава. Для детального изучения внутрисуставных структур применяют УЗИ сустава. Наиболее информативным исследованием, позволяющим определить характер, а в ряде случаев – и причину развития синовита, является пункция тазобедренного сустава с последующим исследованием синовиальной жидкости.
В ряде случаев синовит приходится дифференцировать с поражением брюшной полости, патологическими проявлениями со стороны половых органов и заболеваниями нижнего отдела позвоночника. Обычно для исключения внесуставной патологии достаточно тщательного осмотра врача-травматолога. В сложных случаях назначают консультации других специалистов: невролога, терапевта, гастроэнтеролога, хирурга, уролога и т. д. Иногда проводят рентгенографию позвоночника в нижних отделах.
Оказание первой помощи: что делать сразу после травмы
Если вывих бедра имел травматический характер, произошел спонтанно и нарушил жизнедеятельность человека, он подлежит оказанию первой домедицинской помощи.
Алгоритм действий следующий:
- иммобилизировать конечность;
- дать пациенту обезболивающее средство;
- приложить холод;
- доставить в травмпункт в течение 2 – 3 часов после травмы.
Иммобилизация конечности
Это делается с помощью подручных средств (твердых палок или досок), а также с помощью фиксирующих шин Крамера или Дитерихса. Если в наличии только одна палка или доска, необходимо ее примотать к боковому краю ноги (наружному или внутреннему), и по всей длине обмотать вокруг ноги и палки кусок ткани, по кругу.
Шина Крамера
Шина Крамера – это лестничная конструкция из проволоки, обмотанной марлей. Для полноценной иммобилизации необходимо две шины. Одна применяется на наружную боковую поверхность ноги, а вторая – на внутреннюю поверхность и стопу. Фиксация происходит бинтованием вокруг обеих шин.
Шина Дитерихса – это деревянная конструкция, которая имеет три детали и вытягивает ногу в суставе. Изначально надевается деталь «стопа», затем наружная и внутренняя доски. После того, как три элемента скреплены, необходимо потянуть за стопу для незначительного вытяжения ноги, и избегания повторной травматизации.
Обезболивание
Болевые ощущения возникают за счет повреждений капсулы с болевыми рецепторами, защитного аппарата, связок. Интенсивность боли зависит от болевого порога пациента, степени повреждения. Помогают обезболивающие таблетированные препараты: Анальгин, Кетанов. Иногда скорая помощь подключает наркотические анальгетики: Омнопон, Промедол. В инъекционной форме можно ввести пациенту спазмолитики (Но‐шпа, Папаверин) или комбинированные препараты (Баралгин, Комбиспазм).
Холод
Лёд редко используется, чтобы не вызвать спазм мышц. Чаще применяют специальные аэрозоли с охлаждающим эффектом (спреи Cryos, ICE), прохладные водяные компрессы.
Максимальное количество времени, при котором еще можно будет вправить сустав с минимальными изменениями в тканях и головке бедра – 5 часов. По прошествии этого времени, вывих бедра становится застарелым и тяжело поддается консервативному лечению.
Врожденный вывих бедра
Врожденный вывих бедра – это вывих головки бедренной кости из вертлужной впадины, обусловленный врожденной неполноценностью сустава Недиагностированный в грудном возрасте вывих бедра проявляется хромотой ребенка при первых попытках самостоятельной ходьбы. Наиболее эффективно консервативное лечение врожденного вывиха бедра у детей первых 3-4-х месяцев жизни. При его неэффективности или запоздалой диагностике патологии проводятся оперативные вмешательства. Отсутствие своевременного лечения врожденного вывиха бедра приводит к постепенному развитию коксартроза и инвалидизации больного.
Консервативное лечение
Производится путем вытяжения конечности с ее отведением наружу. Другим способом устранения смещения является закрытое вправление вывиха, которое производится под общим наркозом.
После проведенной репозиции сустав закрепляется в гипсовой повязке на срок до 6 месяцев. Иммобилизация производится в различных положениях в зависимости от степени дисплазии.
Терапия в период новорожденности
Если у детей первых дней жизни устанавливается диагноз дисплазии тазобедренного сустава, к лечению прибегают не дожидаясь результатов диагностических исследований. Обычно в этом возрасте наблюдают развитие предвывиха, который хорошо поддается коррекции.
У новорожденных поражённую конечность укладывают в положение отведения от срединной линии, в такой позе нога удерживается до появления положительной динамики. Для создания заданной позы используются подушки и пеленки в форме буквы Т.
Вспомогательным методом является использование специальных шин, корсетных и бандажных устройств, преследующих ту же цель. В случае предвывиха симптомы самостоятельно регрессируют и дополнительное лечение не требуется.
Лечение детей до полугода
Основной целью терапии является поддержание правильных соотношений между головкой бедра и впадиной тазовой кости. Лечение проводят в основном консервативно, используя специальные шины.
Отведение бедра также достигается постепенно с помощью гимнастики и бандажных конструкций. Иммобилизация в этот период жизни может привести к мышечной контрактуре, поэтому рекомендуются дозированные и правильные лечебные упражнения.
Терапия во втором полугодии жизни
Если за время лечения оказанных мероприятий было недостаточно для устранения симптоматики заболевания, после 6–12 месяцев решают вопрос о выборе метода лечения. К хирургическому вмешательству прибегают при неэффективности других способов.
Оперативное лечение
Такой вид лечения возможен при возрасте ребенка старше 1 года. Хирургическое вмешательство – крайняя мера, которая наиболее часто применяется при поздней диагностике заболевания, когда ребенок уже начал ходить. Способы оперативного лечения:
- Открытое вправление с углублением суставной поверхности, пластикой головки бедра – техника, применяемая для полного восстановления функции сочленения.
- Артродез тазобедренного сустава – замыкание сочленения без возможности движений. Применяется при невозможности выполнения других методик. В детской травматологии показания сведены к минимуму.
- Внесуставные операции реконструктивного характера. Включают реконструкцию шейки бедра, остеотомию, восстановление вертлужной впадины. Эти методы необходимы, когда вправление было достигнуто, но полный объем движений не достигнут по причине сопутствующей патологии опорно-двигательного аппарата.
Вывих тазобедренного сустава – тяжелая инвалидизирующая патология, которая требует ранней диагностики и лечения. Последствий для ребенка можно избежать, вовремя обратившись к квалифицированному специалисту.
Вывих тазобедренного сустава – это травма, которая может возникнуть из-за диспозиции суставной поверхности. Она встречается с 5-20 % случаев, что объясняется анатомическим строением тазовых костей. Вывих условно разделяют на две группы, это приобретенные и врожденные. Каждая группа имеет свои причины возникновения.



