Лечение спинальной инфекции
Как правило, в основных случаях лечится остеомиелит консервативно. Терапия проводится антибиотиками внутривенно.
Поскольку возбуждается заболевание преимущественно бактерией Staphyloccocus, имеющей высокую чувствительность антибиотикам, внутривенный лечебный процесс занимает около месяца, а затем начинается контрольный двухнедельный курс, который осуществляется перорально. В течение всего времени пациенту прописывается постельный режим.
Антибиотики при остеомиелите
Плюс к терапии осуществляется фиксация позвоночника от шести до двенадцати недель с использованием жесткого корсета, до тех пор, пока рентген не покажет положительную динамику терапии.
Одновременно могут быть назначены дезинтоксикационные процедуры, прописаны обезболивающие средства и иммуномодуляторы.
Лечение остеомиелита народными средствами
Хирургический метод
Хирургическое вмешательство проводится в исключительных случаях необходимости декомпрессии нервных структур, а также, если необходима полная санация поврежденной кости с удалением некротизированных участков.
Хирургическое вмешательство осуществляют, если пациент резистентен к терапии антибиотиками
При наличии большого количества костных разрушений, сопровождающихся болью и деформацией позвонков, проводится хирургическая реконструкция трансплантатами поврежденных элементов.
Возможные осложнения
Являясь, безусловно, опасным и тяжелым заболеванием, остеомиелит может вызывать ряд осложнений.
- Некроз кости, возникающий из-за омертвения ткани.
- Септический артрит, при котором инфицирование распространяется на расположенные рядом суставы.
- Остановка роста костей, встречающаяся часто у детей.
- Плоскоклеточный рак кожи, к которому приводит образование открытой раны, продуцирующей гнойные выделения.
Восстановительные процедуры могут потребоваться как после хирургического, так и после консервативного лечения. Как только инфекция нейтрализована, и наступило полное излечение, начинается реабилитационный этап, включающий оздоравливающую гимнастику и физиотерапию.
В результате позвоночнику возвращается нормальная подвижность, исчезает остаточный дискомфорт, воспаление полностью проходит, а пораженные участки приходят в норму.
Видео – Остеомиелит
https://youtube.com/watch?v=NSBrCfiSHgU
Выбирайте среди лучших клиник по отзывам и лучшей цене и записывайтесь на приём
Показать все клиники Москвы
Показать всех специалистов Москвы
Классификация
В зависимости от источника поражения, локализации очага воспаления, механизма развития и специфики течения болезни система МКБ 10 выделяет несколько систематических групп.
По источнику заражения:
- Одонтогенный остеомиелит – следствие различных зубных инфекций. Согласно статистике, в 80% случаев остеомиелит челюсти возникает на фоне запущенных случаев глубокого кариеса, пульпита и периодонтита. При этом заболевание диагностируют как у взрослых людей (в возрасте 20–40 лет), так и у малышей первых лет жизни.
- Травматический и послеоперационный – бактерии и вирусы поражают костные ткани через открытый доступ при переломах, ранах или операциях по удалению зуба, вскрытию абсцесса и т.п.
- Гематогенный и лимфогенный – развивается на фоне общих инфекционных процессов при ослаблении иммунной системы. Часто диагностируется у маленьких детей или после неудачного переливания крови.
- Постлучевой – развивается как осложнение лучевой терапии раковых заболеваний челюсти. Ослабление местного иммунитета приводит к активизации патогенной микрофлоры и развитию гнойно-некротических процессов.
Важно! При остеомиелите костные ткани медленно разрушаются, становятся тонкими и хрупкими. Если вовремя не оказать необходимую помощь, развивается патологическая ломкость костей
По охвату пораженной площади различают:
- ограниченный остеомиелит – с поражением костной ткани в области 1–2 зуба (характерно для одонтогенных процессов);
- диффузный – с поражением всей челюсти или значительной ее части (при гематогенных процессах, а также генерализованных формах пародонтоза).
Очаг воспаления может быть сконцентрирован в пределах верхней или нижней челюсти. С учетом специфики строения, последний вариант встречается чаще (60-70% случаев), в то время как первый имеет более серьезные признаки осложнения.
По течению заболевания и силе проявления симптомов выделяют 3 последовательные формы, которые могут сменять друг друга по мере развития патологического процесса:
- Острая форма – проявляется внезапно с ярко выраженным комплексом симптомов воспаления с температурой до 40 С, отеком, гиперемией, нагноением тканей и образованием абсцессов. Возникает как ответная реакция на проникновение в организм болезнетворных микроорганизмов.
- Подострая форма – имеет менее яркий симптомокомплекс. Часто возникает при ослаблении признаков воспаления в ответ на прорывание абсцессов и образование свищей.
- Хроническая форма – не имеет ярко выраженных симптомов, но является причиной наиболее тяжелых осложнений. Возникает при недолеченном воспалении с остаточным инфекционным процессом после вскрытия абсцессов. Проявляется некрозом, потерей чувствительности мягких тканей, лимфаденитом, множественными свищами. Дополнительную неприятность доставляют периодические обострения заболевания с образованием новых абсцессов. Требует регулярного контроля со стороны врача-стоматолога даже в период ремиссии.
Течение болезни во многом зависит от скорости постановки диагноза, времени начала лечения, причин болезни, состояния иммунной системы и наличия хронических патологий.
Лечение остеомиелита
Всегда определяется индивидуально и зависит от формы и стадии воспаления, а также места его формирования.
Острый остеомиелит
На этой стадии заболевания боль и другие симптомы острого воспаления наиболее выражены.
После обследования и постановки диагноза врачи назначают длительный курс антибиотиков или противогрибковых препаратов — 4-6 недель.
Кроме того, назначается симптоматическая терапия: жаропонижающая, обезболивающая, противовоспалительная и др. Госпитализация нужна далеко не во всех случаях.
Подострый остеомиелит
При этой форме заболевания инфекции развиваются спустя несколько месяцев после полученной травмы или инфицирования. Тактика лечения определяется от степени тяжести и от причины остеомиелита.
При отсутствии травмы в анамнезе лечение соответствует острой форме. Если же она имеется, то лечение несколько сложнее и соответствует лечению при хронической форме.
Хронический остеомиелит
Первые симптомы могут появляться спустя 2 месяца после полученной травмы или же инфицирования. Лечение хронической формы требует комплексного подхода и сочетает в себе хирургическое вмешательство, а также консервативные методы.
Хирургическое лечение включает:
- Установку дренажной трубки для оттока гноя. Это не только облегчает состояние, но и способствует профилактике распространения инфекции;
- Хирургическую обработку. В ходе операции удаляется пораженная и некротизированная часть кости или же она вся, с последующей пересадкой донорского или собственного материала. Кроме костной ткани удаляются и инфицированные мягкие ткани;
- Восстановление притока крови. При удалении части костной ткани ее объем восполняется при помощи различных костнопластических методик: пересадки костных блоков, заполнения пространства материалом, стимулирующим рост собственной кости и др. Установка таких материалов способствует стимуляции образования новых кровеносных сосудов;
- Стабилизацию пораженной кости. На ней могут устанавливаться винты, пластины, стержни.
В сложных случаях и для спасения жизни пациента врачи принимают решение об ампутации пораженной кости и части тела.
Диагностика остеомиелита
В процессе диагностики острого гематогенного остеомиелита в первую очередь производится методическая пальпация, проводимая с осторожностью, с помощью которой можно определить наиболее болезненный участок, который и будет соответствовать центру развития воспалительного процесса. С помощью рентгенологического исследования можно определить локализацию и протяженность очага поражения, а также установить, насколько тяжелыми были изменения с патологоанатомическиой точки зрения
Однако с помощью рентгенологического исследования симптомы заболевания можно выявить только с 10-14 дня развития болезни. При исследовании с помощью рентгена можно определить изолированные участки разрушения. При рассмотрении рентгенограммы их видно как отверстия в кости.
В некоторых случаях для установления точного диагноза целесообразно применение метода компьютерной томографии. Если специалист подозревает наличие у больного хронического остеомиелита, то иногда для диагностики применяется метод фистулографии. Данный метод диагностики позволяет выявить локализацию секвестра в том случае, если обычные снимки не показывают необходимые данные достаточно четко. В процессе применения данного метода используют контрастные вещества (сергозин, йодолипол, диодон). Самые точные результаты можно получить вследствие применения метода радиоактивного сканирования, для которого применяется радиоактивный технеций
С помощью рентгенологического исследования можно определить локализацию и протяженность очага поражения, а также установить, насколько тяжелыми были изменения с патологоанатомическиой точки зрения. Однако с помощью рентгенологического исследования симптомы заболевания можно выявить только с 10-14 дня развития болезни. При исследовании с помощью рентгена можно определить изолированные участки разрушения. При рассмотрении рентгенограммы их видно как отверстия в кости.
В некоторых случаях для установления точного диагноза целесообразно применение метода компьютерной томографии. Если специалист подозревает наличие у больного хронического остеомиелита, то иногда для диагностики применяется метод фистулографии. Данный метод диагностики позволяет выявить локализацию секвестра в том случае, если обычные снимки не показывают необходимые данные достаточно четко. В процессе применения данного метода используют контрастные вещества (сергозин, йодолипол, диодон). Самые точные результаты можно получить вследствие применения метода радиоактивного сканирования, для которого применяется радиоактивный технеций.
Также в процессе диагностики остеомиелита применяется комплекс лабораторных исследований. Так, наиболее информативным методом является определение скорости оседания эритроцитов (СОЭ), что свидетельствует о наличии в организме воспалительного процесса.
Для того чтобы окончательно уточнить диагноз, очень часто применяется метод биопсии с взятием образца тканей. Пункцию кости производят под наркозом. Данная методика используется и для проведения бактериологического исследования.
Альбуминозный остеомиелит Оллье — Понса
Этот вид воспаления костной ткани впервые описал основоположник французской оперативной ортопедии – Луи Оллье. Альбуминозный остеомиелит характеризуется образованием слизистого детрита в некротической полости.
Очаг поражения дистальной части бедренной кости
Причины возникновения
Возбудителями альбуминозного остеомиелита являются представители кокковой флоры – стрепто- и стафилококки. Ученые связывают образование слизистого экссудата внутри патологической полости с недостаточной активностью микроорганизма. Изначально богатая белком воспалительная жидкость не перерабатывается бактериями и не превращается в гной.
Клиническая картина
Рассматриваемое заболевание с большей частотой встречается у подростков. Симптомы болезни малоспецифичны и заключаются в возникновении следующих жалоб:
- постоянные боли в бедре, усиливающиеся при физической нагрузке;
- покраснение кожи в проекции очага поражения;
- постепенно нарастающая припухлость.
Возникнуть альбуминозный остеомиелит может в эпифизе нижнего отдела бедренной кости.
Диагностика в лечебном заведении
Как и при других формах атипического течения болезни, основной метод диагностики – рентген. На обзорных снимках, выполненных в двух проекциях, выявляются следующие характерные изменения:
- очаги просветления неправильной формы с округлыми очертаниями;
- периостальная инфильтрация;
- мелкие секвестральные очаги.
При оперативном вмешательстве в очаге обнаруживается опалесцирующая слизь, в посеве которой определяется рост стафилококка.
Методы лечения
Основной метод терапии – операция. Осуществляется трепанационный доступ к очагу воспаления, после чего жидкость откачивается, плотная капсула удаляется, а полость промывается растворами антисептиков и антибиотика.
Диагностика остеомиелита таза
Диагностика ОТ основывается на анамнестических, клинических данных, а также результатах инструментального обследования больных. При посттравматическом, послеоперационном и контактном остеомиелите диагноз заболевания, как правило, не вызывал затруднений. Гематогенный же остеомиелит характеризуется наибольшими диагностическими трудностями. Естественно, что это не касается тех случаев, когда на момент госпитализации уже имеются анамнестические данные о заболевании.
Что же бывает причиной диагностических ошибок? Одним из основных клинических симптомов при гематогенном ОТ является боль в области таза, иногда без четкой локализации, зачастую с иррадиацией в нижнюю конечность за счет отека тканей и сдавления нервных стволов. Выраженность этого симптома нередко приводит к госпитализации пациента в неврологическое отделение с диагнозом: корешковый синдром, радикулопатия. Проводимое лечение обычно не имеет сколько-нибудь значимого эффекта, и в поле зрения хирурга эти больные попадают при развитии параоссальных гнойных осложнений. Но и в этих случаях диагноз остеомиелита далеко не всегда оказывается в дифференциально-диагностическом ряду. При развитии внетазового затека в ягодичную область ошибочный диагноз нередко звучит как постинъекционная флегмона (это весьма актуально с учетом того, что подобные пациенты получают многочисленные внутримышечные инъекции обезболивающих препаратов).
Рис. 1. Схематическое изображения направления вне- и внутритазовых затеков при ОТ. Сагиттальный срез. Как видно из схемы, гной может распространяться как внутрь таза, так и наружу, под ягодичные мышцы и межмышечно, имитируя постинъекционную флегмону.
Современная инструментальная диагностика остеомиелита таза базируется на трех китах. Это радиоизотопная сцинтиграфия, магнитно-резонансная томография (МРТ) и компьютерная томография (КТ). Причем каждый из этих методов дополняет другой, а не является альтернативой. Остеосцинтиграфия наиболее информативна при остром гематогенном остеомиелите и обострении хронического. Уже с самого начала заболевания наблюдается повышенное накопление радиофармацевтического препарата (РФП) в очаге поражения, когда структурные изменения в костях еще отсутствуют. Трудно переоценить значение остеосцинтиграфии и при мультифокальном поражении скелета. Количественная оценка накопления РФП при хроническом остеомиелите позволяет объективизировать начало обострения патологического процесса.
Рис. 2. Повышенное накопление РФП в области левого крестцово-подвздошного сочленения при ОТ.
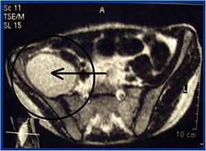
Максимальная информативность МРТ связана с возможностью визуализации отека костного мозга, параоссальных мягких тканей, а также гнойных затеков
Это особенно важно в диагностике внутритазовых гнойников, когда клинических, да ультразвуковых методов бывает недостаточно
Рис. 3. МРТ таза. Поперечный срез. В подвздошной ямке определяется скопление гноя. Исследование позволило

Значимость КТ основывается на возможности детального изучения структурных изменений костей при хроническом остеомиелите: выявлении периостита, зон деструкции, секвестрации кости.
Рис. 4. КТ таза. Мультипланарная реконструкция. Определяется костная деструкция в области крестцово-подвздошного сочленения.
Рис. 5. КТ таза. 3D-реконструкция. Остеомиелитическая деструкция лобковой кости.
Рис. 6. КТ пациентки с остеомиелитом подвздошной кости после эндопротезирования тазобедренного сустава.
Остеомиелит таза часто сопровождается формированием наружных гнойных свищей
В этой связи важное место в диагностике отводится фистулографии
Рис. 7. Фистулограмма больного остеомиелитом таза. Определяются множественные свищи внутри- и внетазовой локализации.
Рис. 8. Фистулограмма. Массивный затек под ягодичные мышцы у пациентки с остеомиелитом седалищной кости.
Можно ли предотвратить остеомиелит?
Самый простой способ предотвратить остеомиелит — сохранять кожу чистой. Все порезы и раны, особенно глубокие, должны быть тщательно очищены. Моте раны водой с мылом, держите их под проточной водой не менее пяти минут подряд, чтобы тщательно их промыть и удалить любую грязь.
Чтобы сохранить чистоту раны после промывки, накройте ее стерильной марлей или чистой тканью. Вы можете нанести заживляющий безрецептурный антибактериальный крем на рану, но самое главное, чтобы он был хорошо очищен. Раны должны начать заживать в течение первых 24 часов и полностью зажить в течение недели.
Рана, для заживления которой требуется больше времени и/или которая вызывает сильную боль, должна быть осмотрена специалистом.
И, как и при многих инфекциях, родители и дети должны тщательно и часто мыть руки, чтобы предотвратить распространение микробов. Дети также должны своевременно проходить необходимые вакцинации.
Факторы риска
Костная ткань, как правило, устойчива к инфекции. Для возникновения остеомиелита необходимы условия, которые увеличивают уязвимость костей к инфекции.
Наличие травм или операций, которые произошли недавно. При тяжелых переломах костей или глубоких пункциях происходит проникновение инфекции в кость или близлежащую ткань. Хирургическая репозиция костных отломков или операции по эндопротезированию могут также случайно способствовать заносу инфекции в кости.
Нарушение кровообращения.Когда кровеносные сосуды повреждены или нарушен ток крови по ним, то возникают условия для дефицита иммунных клеток отвечающих за противодействие микробам и не позволяющих небольшому количеству случайно попавших микробов в ткани размножаться. То, что начинается как небольшой разрез, может прогрессировать до глубокой язвы, которая может охватить глубжележащие ткани и даже кости. Заболевания, которые приводят к нарушению циркуляции крови, включают в себя:
- Сахарный диабет
- Заболевания периферических артерий, часто связанных с курением
- Серповидно-клеточная анемия
Медицинский катетер соединяет внешний мир с внутренними органами. И хотя эти катетеры необходимы для некоторых состояний они могут служить проводниками инфекций в организм. Поэтому катетеры увеличивают риск инфицирования, в том числе и остеомиелита. Примеры включают в себя:
- Катетеры для диализа
- Катетеры мочевого пузыря
- Внутривенные катетеры, которые необходимо для длительного введения медикаментов (месяцы или даже годы)
Люди, которые употребляют наркотики внутривенно, имеют большой риск развития остеомиелита, потому что они обычно используют нестерильные иглы и не обрабатывают кожу перед инъекциями.
Наиболее подвержены развитию остеомиелита следующие группы людей:
- Пациенты пожилого возраста
- Наркоманы, употребляющие наркотики внутривенн
- Пациенты с наличием ослабленной иммунной системы
Иммунная система может ослабляться в результате следующих состояний:
- Длительное применение кортикостероидов для лечения системных заболеваний, таких как ревматоидный артрит.
- Инсулинозависимый сахарный диабет
- Пациенты с наличием пересаженных органов
- Синдром приобретенного иммунодефицита (СПИД)
- Недоедание
- Рак
Внутривенные употребление наркотиков вызывает увеличение числа пациентов с инфекцией позвоночника. Как правило, микроорганизмом чаще всего поражающим позвоночник является золотистый стафилококк, а у наркоманов, использующих внутривенное введение наркотиков, нередко и синегнойная палочка является возбудителем спинальной инфекции. Для лечения этих двух возбудителей требуется различное лечение антибиотиками.
В недавнем прошлом микобактерия туберкулеза часто являлась причиной инфекции позвоночника. В настоящее же время в развитых странах туберкулез позвоночника практически не встречается и распространен он только в бедных отсталых странах с низким уровнем жизни. Но у наркоманов возможен туберкулезный генез инфекции.
Большинство инфекций тел позвонков встречаются в поясничном отделе позвоночника из-за особенности венозного кровотока. При туберкулезном поражении позвонков чаще страдает шейный и грудной отдел позвоночника.
Симптомы остеомиелита стопы
Гематогенный остеомиелит характеризуется острым началом, бурным течением и значительным разрушением костной ткани. Среди различных локализаций гематогенного остеомиелита стопа по частоте занимает последние места, причем поражаются преимущественно пяточная и таранная кости. Для гематогенного остеомиелита стопы характерно острое начало: резкий озноб и стойкое повышение температуры до 39—40°; дифференциальная диагностика облегчается локальной болезненностью, уточняемой при пальпации.
Рентгеновское исследование в начале заболевания не дает опорных данных для диагностики, и только с 10—15-го дня удается отметить утолщение надкостницы, воспалительный остеопороз и иногда деструктивные очаги, а еще позже выявляются секвестры. На стопе остеомиелит поражает преимущественно короткие кости, в спонгиозной ткани которых рентгенологическая картина процесса получает совсем иное отражение, нежели в длинных трубчатых костях: нет образования секвестральной коробки и демаркационная граница, или, точнее, костный ров, ограничивающий процесс, не находит отчетливого отражения на пленке.
В пяточной кости обнаруживаются периостальные наслоения, склерозирование губчатой ткани без заметного разрушения кортикальной кости. Своеобразные условия кровоснабжения таранной кости обусловливают склонность ее к некрозам при различных поражениях. При остеомиелитах характерны септические некрозы таранной кости.
Лечение
Назначают комплексное лечение с применением хирургических и консервативных методов. Устраняют причину остеомиелита и симптомы воспаления, чистят очаг нагноения, удаляют некротические участки. Последующая медицинская помощь связана со стимуляцией работы иммунной системы, регенерацией тканей и восстановлением нормальной структуры челюсти после приобретенных дефектов.
Хирургическое лечение:
- вскрывают абсцессы, расширяют свищи для улучшения оттока гноя;
- проводят секвестрэктомию – через внутриротовой разрез удаляют омертвевшвие секвестры;
- очищают ткани в области очага воспаления до состояния здоровой кости и заполняют пустое пространство биосинтетическими остеотропными препаратами;
- ушивают открытую рану и ставят дренаж.
Одновременно с зачисткой очага воспаления могут удалять источник инфекции – пораженные зубы. Как правило, такие структуры уже не в состоянии выполнять возложенную на них жевательную функцию.
Медикаментозная терапия:
- антибиотики;
- противовоспалительные средства (НПВС);
- иммуностимулирующие и иммуномодулирующие препараты;
- укрепляющие средства – витамины, минералы.
Методы физиотерапии:
- электрофорез;
- УВЧ-терапия;
- лазерная терапия;
- магнитотерапия;
- ультразвук.
Основные задачи физиотерапии – снизить интенсивность воспалительных процессов, убрать болевой синдром, усилить бактерицидное действие медикаментов, улучшить питание тканей, запустить регенеративные процессы.
На заметку! В тяжелых случаях для лечения остеомиелита используют методы гемосорбции и гипербарической оксигенации. В первом случае кровь очищают от токсинов, пропуская ее через сорбенты, во втором – с помощью барокамеры повышают уровень кислорода в крови, предотвращая тем самым септических шок и замедляя процесс некротизации тканей.
На начальной стадии острой формы заболевания, если воспалительный процесс длится недолго и не имеет ярко выраженного гнойного абсцесса, хирургического вмешательства можно избежать. В этом случае назначают интенсивное консервативное лечение в условия стационара.
Основной комплекс действий в остальных случаях:
- обрабатывают гнойно-воспалительный очаг – вскрывают абсцесс, удаляют инфицированный зуб, обрабатывают полости, ставят дренажи, чистят свищи и секвестры;
- закрепляют положение твердых структур – шинируют подвижные зубы, фиксируют переломы челюсти;
- проводят терапию лекарственными препаратами;
- после острой фазы воспаления дополнительно назначают физиопроцедуры.
Исследование периферического кровообращения
Неотъемлемые компоненты патогенеза гнойно-воспалительного процесса — нарушения внутрикостной микроциркуляции и регионарного кровообращения. Рентгеноконтрастная ангиография служит информативным методом изучения рентгеноанатомии сосудистого русла, однако её инвазивность, высокая стоимость, а также относительная ограниченность в количественной трактовке функции дистального сосудистого русла ограничивают её применение. Данный метод используют главным образом при проведении пластических операций с использованием лоскутов на сосудистой ножке. Регионарное кровообращение может быть оценено также с помощью ультразвуковой допплерографии и дуплексного ангиосканирования. Для оценки микроциркуляции предлагают использовать лазерную допплеровскую флоуметрию, тепловидение и полярографию. Чрескожное определение напряжения кислорода и углекислого газа помогает контролировать кровообращение в зоне поражения и пересаженных тканевых лоскутов.
Под остеомиелитом подразумевается воспалительное заболевание костей и костного мозга. Оно возникает вследствие проникновения микробной инфекции в организм. Для уточнения стадии заболевания, локализации патологического очага, объема поражения кости необходима диагностика остеомиелита. На сегодняшний день она довольно разнообразна, основывается на лабораторном, бактериологическом, лучевом методе обследования.

