Клиническая картина
Опасность артроза заключается в отсутствии симптомов на первой стадии его развития. Патология клинически проявляется постепенно, первые признаки возникают на фоне значительного разрушения хрящевых тканей. Вначале человек ощущает слабую боль, не имеющую четкой локализации. Она появляется после физических нагрузок — поднятия тяжестей, спортивной тренировки. Иногда первым клиническим проявлением становится хруст, щелчки при сгибании или разгибании сустава. Человек начинает замечать, что некоторые движения даются с трудом. Впрочем, на начальной стадии артроза тугоподвижность возникает в утренние часы и вскоре исчезает.
https://youtube.com/watch?v=Dd482KQbgDg
По мере прогрессирования заболевания боли ощущаются и в ночное время, провоцируя не только расстройство сна, но и появление хронической усталости. Выраженность болевого синдрома на второй стадии повышается при смене погоды, обострении хронических патологий, ОРВИ. Заметно снижается объем движений. Причиной тугоподвижности становится истончение хрящей, а также сознательное ограничение человеком движений в попытках избежать появления болей. Это приводит к увеличению нагрузки на противоположный сустав, что провоцирует его дальнейшее повреждение. Для артроза характерны и другие специфические симптомы:
- боль провоцирует спазмированность скелетной мускулатуры и развитие мышечных контрактур (ограничения пассивных движений в суставе);
- хруст в суставах, щелчки, потрескивание при движении становятся постоянными, возникают почти при каждом смещении костей относительно друг друга;
- часто возникают болезненные мышечные судороги;
- суставы деформируются, что приводит к нарушениям осанки и походки;
- на третьей стадии артроза деформация выражена настолько ярко, что сочленения искривляются, а объем движений в них существенно снижен или полностью отсутствует;
- при артрозе третьей степени коленного, голеностопного, тазобедренного сустава больной при передвижении пользуется тростью или костылями.
При отсутствии лечения патология прогрессирует, а в ее течении ремиссии сменяются рецидивами, причем частота обострений все время возрастает. Скованность движений по утрам теперь не исчезает в течение длительного времени, становится постоянной.
Осматривая пациента с артрозом 1 степени, врач отмечает лишь незначительную отечность сустава и полную сохранность объема движений. При патологии 2 степени пальпация выявляет болезненность и слабо выраженную деформацию. В области суставной щели наблюдается формирование костных утолщений.
https://youtube.com/watch?v=CV1Rn2-s_Q8
Для артроза характерно развитие синовитов — воспалительных процессов в синовиальных оболочках тазобедренных, коленных, голеностопных, плечевых суставов. Их ведущим симптомом становится образование округлого уплотнения в области сочленения, при надавливании на которое ощущается перемещение жидкости (флуктуация). Острое течение синовита может сопровождаться подъемом температуры до 37-38°C, головными болями, нарушением пищеварения.
Симптомы
Деформирующий остеоартроз имеет характерную клиническую картину — болевой синдром и деформацию сустава.
На начальном этапе патологии:
- голеностоп не имеет визуально заметных изменений (дистрофический процесс в хрящевой ткани можно установить после рентгенологического обследования), боли, возникающие после нагрузок, имеют непродолжительный характер и исчезают после отдыха;
- появляется натянутость и напряженность мышечной ткани в области патологического процесса;
- неприятные ощущения в области голеностопа при движениях и покое.
Вторая стадия артроза характерна:
- более сильными болями, возникающими при любых нагрузках на нижние конечности;
- ограниченными движениями стопы (сложно подняться на носки ног);
- изменением походки — может появиться хромота, пациент меняет положение ноги при ходьбе для уменьшения болей в голеностопе.
Третья стадия имеет клиническую картину:
- разрушение хрящевой ткани прогрессирует;
- сустав подвергается деформации;
- двигательная функция ноги ограничена интенсивным болевым синдромом;
- болевой синдром не проходит в состоянии покоя.
По мере прогрессирования деформирующего остеоартроза в патологический процесс вовлекаются суставная капсула, костная ткань, связки. Хрящевая ткань в процессе прогрессирования заболевания разрушается: теряет свою упругость, отслаивается от костной ткани. Частички хряща – хрящевой детрит – попадают между суставами, усугубляя процесс истончения соединительной ткани и синовиальной оболочки капсулы сочленения. Эти процессы приводят к развитию воспалительного процесса – синовита. Синтез внутрисуставной жидкости увеличивается, что способствует большей деформации хрящевой ткани. Синовит сопровождается локальными гипертермией и отеками. Иногда симптоматика дополняется «стартовыми болями» – неприятными ощущениями, которые увеличиваются при движении, после ослабевают или исчезают.
1 степень
По мере прогрессирования артроз голеностопного сустава разделяют на три степени. 1 степень – болевые ощущения появляются после нагрузок, изредка наблюдается локальная отечность. На рентгенограмме видно легкое сужение просвета суставной щели.
2 степень
Клиническая картина артроза 2 степени голеностопного сустава выражена постоянным болевым синдромом, который не зависит от физических нагрузок, ясно слышен хруст и поскрипывание в суставе при резких движениях. На рентгеновских снимках выражены деформации хряща, сужение суставной щели почти наполовину от естественной высоты.
3 степень
Дальнейшее развитие артроза голеностопного сустава приводит к 3 степени патологии. Клиническая картина: интенсивные боли, продолжительность — до нескольких дней. Появляется хромота, голень отклоняется от анатомической оси вправо или влево. Рентгенограмма показывает атрофию связок и мышечной ткани, развитие остеофитов, деформацию в костной ткани.
4 степень
Дальнейшее осложнение артроза приводит к деформации голеностопного сустава (внутрь или наружу). Двигательная активность нижней конечности сильно ограничена или отсутствует. Дистрофические процессы в голени способствуют образованию многочисленных остеофитов, которые сдавливают сосуды кровеносной системы и нервные корешки. Запущенное состояние патологии может привести к развитию тромбоза, синовита и других недугов.
Для точного установления степени болезни проводят детальную диагностику:
- общий анализ крови;
- биохимический анализ крови;
- рентгеноскопия;
- МРТ;
- радиоизотопное обследование.
Лечение артроза голеностопного сустава
Залогом успешного лечения артроза является своевременная диагностика. Каждый человек, который обнаружил у себя симптомы данного заболевания или просто дискомфорт в области сустава, должен обратиться в ближайшее медицинское учреждение. На приёме у ортопеда-травматолога пациенту будет проведён личный осмотр. Во время пальпации области голеностопного сустава специалист сможет выявить серьёзные отклонения.
Для подтверждения своего диагноза врач отправит больного на дополнительно обследование:
на компьютерную или магнитно-резонансную томографию.
При выборе способа лечения артроза, развившегося в голеностопном суставе, специалист должен использовать различные современные методики, благодаря которым прекращается процесс дегенерации хрящевых тканей. В первую очередь врач должен назначить своему пациенту медицинские препараты, которые смогут избавить его от сильного болевого синдрома. После этого больные начинают принимать лекарственные средства, снимающие воспалительные процессы в области суставов.
Курс лечебной терапии включает в себя следующее:
занятие лечебной физкультурой (все упражнения необходимо выполнять под наблюдением инструктора, который проследит, чтобы во время тренировки пациент не получил травму);
нормализация веса (если больной имеет ожирение, ему следует в срочном порядке сесть на диету, которая ограничивает употребление жиров, солей и других вредных веществ);
мази, которые обладают обезболивающим эффектом;
физиотерапевтические процедуры, включающие магнитотерапию и т. д.
Большую роль в процессе выздоровления играет питание пациента. Во время лечения, а также в целях профилактики, больным необходимо употреблять в пищу холодец, и другие блюда, в составе которых присутствует желатин (например, желе)
Очень важно следить за количеством потребляемых витаминов, которые присутствуют в различных продуктах. Если пациент не может по каким-то причинам употреблять такие продукты, он может приобрести сбалансированный витаминно-минеральный комплекс, показанный при лечении артроза суставов
Все вопросы, касающиеся правил питания при артрозе голеностопного устава лучше обсудить с диетологом, который поможет больному провести коррекцию веса и восстановления обменных процессов в организме. Во время прохождения лечения пациентам не рекомендуется употреблять алкоголь и газированные напитки. Врачи настоятельно рекомендуют бросить курить, так как никотин негативно влияет на все жизненно-важные органы и системы человека.
Если медикаментозная терапия не принесла результата, больным проводится хирургическое лечение артроза:
эндопротезирование (во время оперативного вмешательства осуществляется замена поврежденного сустава качественным протезом);
артропластика (при оперативном вмешательстве сохраняется часть хрящевой ткани и выполняется обездвиживание сустава искусственным способом).
Во время эндопротезирования специалисты используют протезы, выполненные из керамики, металла или пластика. После удачного протезирования пациент может на протяжении 20 лет вести полноценный образ жизни.
Лечение артроза
Можно ли вылечить артроз голеностопного сустава – вопрос довольно сложный. Данное заболевание считается хроническим и полностью устранить его невозможно. При своевременном грамотном лечении, ведении правильного и здорового образа жизни, болезнь можно остановить в развитии, не давая ей стремительно прогрессировать.
Прежде чем назначать какое-либо лекарство от артроза голеностопного сустава, врач должен провести ряд обследований. Метод диагностики будет зависеть от индивидуальных особенностей пациента и стадии заболевания.
Упражнения и физиотерапия являются главными методами консервативного лечения. Мази и таблетки являются главными средствами для снятия болевых ощущений при артрозе голеностопного сустава. Снять воспаление можно при помощи препаратов, имеющих в своем составе хондропротекторы.
Они способны влиять на обмен веществ в хрящевой ткани, однако применять их нужно не один месяц. При обострении и сильных болях назначаются уколы непосредственно в больной сустав.
Еще одним довольно эффективным способом как снять боль при артрозе голеностопного сустава, является массаж и ЛФК. Лечебная физкультура – главный метод борьбы с артрозами.
Однако стоит отметить, что данный способ будет более эффективным, если его использовать в качестве профилактических мер, а не как терапию. Также, если правильно сочетать ее с мануальной терапией, это позволит предотвратить контрактуру, как при обычном, так и при посттравматическом артрозе.
Гимнастика и лечебная физкультура при артрозе голеностопного сустава по Бубновскому —, это методика, разработанная профессором, доктором медицинских наук С.М. Бубновским, предусматривает выполнение ряда специальных упражнений, которые разрабатываются и расписываются индивидуально для каждого пациента.
Массаж и физпроцедуры также являются эффективными способами лечения артроза. К наиболее результативным относят:
- ультразвук,
- магнитную терапию,
- электрофорез,
- компрессы, ванны.
Стоит обратить внимание, что данная физиотерапия должна применяться параллельно с медикаментозным лечением. Только комплексная терапия может дать высокий результат
Народная медицина при артрозе стоп
Многих пациентов интересует, как лечить артроз голеностопа народными средствами в домашних условиях. Данный способ лечения также является эффективным, если он не применяется при острой стадии заболевания. К тому же, народные рецепты лучше сочетать с традиционными методами лечения – так эффективность будет на порядок выше.
Когда диагноз пациенту уже поставлен и назначен курс лечения, можно дополнительно использовать несколько распространенных в народе рецептов.
Большой популярностью пользуется мазь на основе мумие. Добавив в нее небольшое количество розового масла, смесь наносится на пораженный участок конечности. Мазь при артрозе голеностопного сустава следует втирать достаточно аккуратно, а после процедуры смыть теплой водой.
Довольно распространенным считается рецепт из сырого картофеля. Овощ трут на мелкую терку и полученную кашицу прикладывают к больному суставу на полчаса.
Перед тем, как прибегнуть к какому-либо народному рецепту, нужно обязательно проконсультироваться с доктором. Также не стоит надеяться на быстрый эффект или полное исцеление, такое заболевание, как артроз не является излечимым. Травы и отвары не устранят первопричину патологии, об этом не стоит забывать.
На последних стадиях, когда болезнь практически не поддается медикаментозному лечению, доктор может направить на операцию. Она предусматривает хирургическое вмешательство, в процессе которого деформированный хрящ выравнивается, суставу возвращается возможность движения, а в некоторых случаях возникает обратная необходимость – обездвижить его (тогда применяется артродез).
Правильное питание при артрозе, является одним из основных факторов, оказывающих воздействие на развитие и протекание болезни. Вес человека напрямую влияет на здоровье суставов и хрящевой ткани. Кроме физиотерапии и медикаментозного лечения, врач назначает пациенту специальную диету, направленную на снижение массы тела и нормализацию обмена веществ.
Диета при артрозе предусматривает исключение всех высококалорийных блюд, а основной упор делается на свежие овощи, зелень и фрукты.
Разновидности и код по МКБ-10
По локализации деформирующий артроз бывает голеностопным, коленным, плечевым, тазобедренным и другим. По выраженности симптоматики острым и хроническим.
Есть и другие разновидности остеоартроза:
Внимание! Напоминаю, что при любой проблеме Вы можете обратиться за консультацией к нашим специалистам. В нашем каталоге есть специалисты как широкого, так и узкого профиля
Пожалуйста, обращайтесь!
В нашем каталоге есть специалисты как широкого, так и узкого профиля. Пожалуйста, обращайтесь!
С верой в ваше здоровье, Лариса Бикерская.
- Посттравматический – возникает из-за травмирования суставных структур.
- Первичный полиостеоартроз (или болезнь Каллгена) – развивается из-за ослабления мышц и связок, что чаще обусловлено гормональными изменениями при климаксе у женщин.
- Артрозоартрит – сочетает в себе воспаление сустава и разрушение хряща.
- Унковертебральный – связан с естественными процессами старения организма.
В международной классификации болезней категории артроза присвоены коды от М15 до М19. Голеностопный следует искать в группе «Другие артрозы» под кодами М19.0 (первичный), М19.1 (посттравматический), М19.2 (вторичный), М19.8 (другой уточненный) и М19.9 (неуточненный).
Какие бывают степени артроза?
В классификации Келлгрена и Лоуренса выделяют следующие стадии остеоартроза:
- Нулевая стадия. Рентгенологические признаки (на рентгеновском снимке) отсутствуют. Диагноз ставится на основе клинических признаков, лабораторных анализов, а также путем исключения других возможных патологий. Необходимо понимать, что зачастую рентгенологические изменения появляются несколько позже, чем начинает развиваться заболевание, поэтому нулевая стадия не исключает сам остеоартроз. Даже визит к врачу в этот момент чаще всего ничего не даст, так как у врача нет причин подозревать данное заболевание.
- Первая стадия. Наличие сомнительных признаков остеоартроза на рентгенограмме. Изменения в самой структуре кости отсутствуют, но могут быть тени от различных уплотнений или, наоборот, размягчений тканей.
- Вторая стадия. Минимальные изменения строения сустава на рентгеновском снимке. К ним относится сужение суставной щели и признаки размягчения костной ткани.
- Третья стадия. Изменения сустава и околосуставных тканей средней выраженности. На снимке четко просматриваются изменения кости и хряща, характерные для артроза.
- Четвертая стадия. Выраженные изменения сустава и околосуставных тканей. К этой же стадии относят окостенение сустава и другие возможные осложнения и последствия артроза.
раз в полгодаКлассификация Ларсена рассматривает следующие рентгенологические признаки остеоартроза:
- Нулевая стадия. Рентгенологические признаки остеоартроза отсутствуют. Состояние суставной щели и околосуставной костной ткани соответствует физиологической норме. Следует понимать, что и в данной классификации, отсутствие признаков остеоартроза на рентгене или компьютерной томограмме не исключает заболевание как таковое, так как клинические признаки могут развиться гораздо позже.
- Первая стадия. Сужение суставной щели менее чем наполовину. Данный признак может встречаться и при других заболеваниях, но должен насторожить врача и подтолкнуть его к дальнейшим исследованиям.
- Вторая стадия. Суставная щель сужена более чем на половину от нормы. Щель сужается вследствие разрастания соединительной ткани и патологических изменений в хрящевой ткани.
- Третья стадия. Формирование остеофитов (костные разрастания) в околосуставной области кости с уплотнением и замещением соединительной тканью в области над хрящом (ремодуляция). Данные изменения являются слабовыраженными.
- Четвертая стадия. Ремодуляция средней интенсивности, с более выраженным разрастанием остеофитов и склерозированием околохрящевой зоны (суставная щель начинает зарастать плотной соединительной тканью). Зачастую остеофиты являются причиной выраженного дискомфорта и болей, так как сдавливают и повреждают окружающие мягкие ткани. На этой стадии болезнь ярко проявляется в виде припухлости, красноты, ограничения движений в суставе.
- Пятая стадия. Интенсивное, выраженное формирование остеофитов, которые значительно деформируют сустав, ограничивая его подвижность и вызывая сильные боли при движении и беспокойства в пораженной конечности.
артроскопиипрямая визуализация полости сустава при помощи специальных инструментов
Методы и способы лечения
Как только появились первые симптомы неблагополучия, необходимо отказаться от ношения тесной обуви, в том числе на высоком каблуке. Лучше всего перейти на специальную ортопедическую обувь или использовать ортопедические вкладыши.
Артроз стопы является хорошим поводом и стимулом похудеть. Делать это нужно не через голодание, а с помощью изменения рациона. Нужно резко уменьшить количество жирной мясной пищи. Следует отказаться от отдельно принимаемых животных жиров, сладкой выпечки, копченостей и т.п.
Требование снижения нагрузки на стопу не должно трактоваться как рекомендация снизить подвижность. Физкультура здесь только поможет справиться с недугом. Пешие прогулки, легкий бег на небольшие расстояния необходимы всегда, кроме периодов обострения с острой болью.
Лечения артроза стопы народными средствами включается в себя целый комплекс средств наружного применения.
Компресс из облепихового масла. В больной сустав втереть облепиховое масло, укутать его полиэтиленом и сверху теплой тканью. Держать несколько часов.
Спиртовые растирания. К традиционному растиранию спиртом или водкой можно добавить усиленный вариант воздействия на суставы:
- смешать мелко нарезанный жгучий перец (1 стручок) с чистотелом (1 ст. л.) и измельченным листом алоэ (средних размеров 1 лист), все это заливается 0,5 л водки или спирта, настаивать нужно в течение 3 недель, готовый настой необходимо втирать в больные суставы и укутывать;
- кожуру от 5 бананов нужно настаивать на водке (0,5 л) в течение месяца, использовать как растирание;
- цветы конского каштана (20 г) настаиваются на водке (0,5 л) в течение 10 дней, после этого используются в качестве растираний;
- смешать спирт с медом и морской солью, пропитать этим ткань и намотать ее на переднюю часть стопы, сверху замотать полиэтиленом и тканью, держать несколько часов.
Компресс из теста. Необходимо взять пшеничную муку крупного помола и замесить ее как обычное тесто на яичном желтке. Раскатать тесто в не тонкую лепешку и укутать ею сустав. Сверху накрыть полиэтиленом и теплой тканью.
Йодная сетка. На ночь всю переднюю часть стопы можно смазывать йодом. Он лечит воспаление и снимает отеки. Главное здесь — не наносить сетку слишком густо, иначе могут быть ожоги.
Народными средствами считаются и ножные ванночки из целебных трав. Нужно в равных пропорциях смешать душицу, можжевельник, багульник и чабрец. Залить их кипятком, настаивать около 1 ч. Потом вылить в емкость для ванночек. Держать ноги в такой горячей воде нужно не дольше 15 мин. Так же можно использовать ванночки из морской соли или соды.
Хорошим способом лечения практически всех воспалительных заболеваний стопы является лечение глиной и песком. Из глины, густо разведенной в воде, можно делать компресссы. Лечиться можно на пляже, закапывая ноги в горячий песок знойным летом. То же самое можно делать и дома в разогретом чистом и крупном песке.
Лечение артроза дома позволяет использовать различные методы и рецепты в комфортных условиях, а главное — регулярно. Это и есть залог успеха в борьбе с недугом.
Артроз стопы – одно из самых коварных заболеваний. Распознать деформацию сустава большого пальца непросто. Большинство пациентов обращается за помощью, когда поврежденные мягкие ткани начинают воспаляться, и появляются дискомфортные ощущения. Чтобы убрать боль и отеки, нужно остановить деструктивные процессы и запустить регенерацию. Пациенту рекомендуют нестероидные препараты, но на ранней стадии артроза можно остановиться на народных средствах.
Биксипластия для волос
Методы диагностики артроза голеностопного сустава
Чтобы дифференцировать артроз, проводят ряд клинических исследований. Диагностика состоит из проведения биохимических анализов, УЗИ, рентгенографии и других процедур. Для подтверждения диагноза также необходимо подробное изучение жалоб пациента. После сопоставления полученных данных, врач определяет степень артроза. Отметим, что специфического теста на артроз не существует, поэтому правильность постановки диагноза зависит от профессионализма врача.
В ходе обследования проводят следующие анализы и процедуры:
Исследование крови
Врач обращает внимание на показатель СОЭ, повышение которого свидетельствует в пользу общего воспалительного процесса, в то время как при артрозе он в норме. Также изучают количество лимфоцитов и лейкоцитов, если они в норме, скорее всего, жалобы пациента являются признаком артроза
В случае инфекции, а не артроза, эти показатели увеличены.
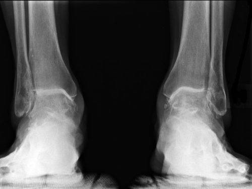
Простая радиография. С помощью рентгеновских лучей получают снимок голеностопа и оценивают состояние хряща. Таким способом проще всего определить дегенеративный процесс в суставе. Если у больного есть артрит, на снимке видно уменьшение суставной щели, структурные изменения хряща, пустоты в кости, остеофиты.
МРТ. С помощью магнитного поля изучают состояние не только костной ткани, но и мышечного аппарата. В ходе обследования диагностируют те же изменения, что на рентгеноскопии, однако стоимость процедуры значительно выше. По этой причине МРТ проводят лишь в случае необходимости дифференциальной терапии.
Компьютерная томография. Суть процедуры заключается в обработке изображения с помощью цифровой матрицы. Это позволяет получить более точную картину, нежели на рентгенографии. Проведение КТ целесообразно в случае ранней диагностики артрита.
УЗИ. Малоинформативный метод, который применяется лишь для прослеживания динамики разрушения хряща. Также УЗИ используют, когда проводят внутрисуставные инъекции.
Сцинтиграфия. Больному вводят специфические атомы, которые могут проникать в костную ткань. Потом с помощью сканера определяют степень накопления этих веществ в суставе и оценивают состояние хряща. Проводят с целью дифференциации артроза от злокачественных поражений кости.
Пункция сустава. Чтобы подтвердить неинфекционную природу поражения сустава делают прокол и набирают внутрисуставную жидкость. Анализ позволяет более точно отличить артроз от инфекционного артрита или подагры.
Причины возникновения деформирующего артроза голеностопа
К основным причинам развития артроза относятся:
1) Травмы суставов
Строение голеностопного сустава устроено таким образом, что стопа может выпрямляться и сгибаться в вертикальном положение, но при этом не имеет большой амплитуды в боковом вращении. За счет такого строения подворачивание ноги приводит к сильной боли, вывихам, разрывам связок. В первую очередь в зоне риска находятся люди, занимающиеся активными видами спорта.
Чрезмерное давление на область суставов, вызванное избыточным весом, приводит к деформации связок и хрящей.
С возрастом происходит естественный износ и разрушение хрящевых тканей.
4) Перенесенные инфекционные заболевания
5) Наследственная предрасположенность к заболеваниям костей
6) Внешние факторы (оперативное вмешательство, воспаления и переохлаждение)
7) Изменение гормонального фона, в следствии неправильной работы эндокринной системы. В том числе во время менопаузы у женщин.
8) Неправильный образ жизни.
Курение, употребление алкоголя и вредной пищи приводят к нарушению обменных процессов в организме. В результате костные ткани и суставы не получают необходимые элементы для сохранения их структуры.
9) Врожденные или приобретенные изменения стопы, такие как плоскостопие.
При ходьбе нагрузка распределяется неправильно из-за чего в первую очередь страдает голеностопный сустав.
10) Артриты любой этиологии, приводящие к снижению устойчивости сустава к нагрузкам.
Находясь в зоне риске и при появлении болевых ощущений в области сустава не стоит медлить и оттягивать обращение к врачу.
Клиническая картина
Артроз голеностопа относится к хроническим рецидивирующим заболеваниям. По мере его прогрессирования разрушаются хрящевые ткани, в свою очередь, запуская патологические процессы. На начальной стадии артроза симптоматика выражена слабо. Болезненные ощущения появляются одновременно со скованностью движений в утренние часы. Затем человек «расхаживается», в организме начинают вырабатываться биоактивные соединения с обезболивающим действием. Если на этом этапе обратиться за медицинской помощью, то лечение не займет много времени. При отсутствии врачебного вмешательства артроз поражает весь гиалиновый хрящ, а затем и связки с сухожилиями. Интенсивность симптоматики нарастает:
- боль в голеностопе не исчезает в течение дня, может усиливаться в вечерние часы;
- снижается объем движений в голеностопном суставе;
- боль возникает в состоянии покоя, особенно при резкой смене температур, переохлаждении, рецидиве какой-либо хронической патологии;
- ходьба, сгибание и разгибание сустава сопровождается крепитацией — характерными щелчками и похрустыванием;
- «грызущая» продолжительная боль возникает ночью, может сопровождаться мышечными судорогами;
- связочно-сухожильный аппарат утрачивает стабильность, что становится причиной гипермобильности сустава, частых вывихов, подвывихов, растяжений.
https://youtube.com/watch?v=SWQzViLMhXE
Артроз голеностопного сустава протекает волнообразно. На стадии ремиссии боли исчезают, возникают только при длительной ходьбе или подъеме тяжестей. Но вскоре под воздействием негативных факторов происходит обострение. Боль не стихает в течение дня даже в состоянии покоя, усиливается при опоре на стопу.
При 3 степени артроза начинают разрушаться и видоизменяться кости, принимая Х-образную или О-образную форму. Больной часто не способен полноценно опираться на стопу, заметно прихрамывает, передвигается с тростью или костылями. Постепенно сустав окостеневает. Если это произошло в прямом положении конечности, то человек может наступать на стопу. При сращении костей в порочном согнутом положении он способен передвигаться только с костылями, задействуя одну ногу.
Деструктивно-дегенеративные изменения нередко становятся причиной синовита — воспаления синовиальной оболочки. Кожа над голеностопом опухает, краснеет, становится горячей на ощупь. Иногда синовит проявляется в симптомах общей интоксикации организма: повышении температура тела, лихорадочном состоянии, расстройстве пищеварения, головных болях.
| Методы терапии артроза в домашних условиях | Препараты и лечебные процедуры |
| Курсовой прием таблеток, применение мазей и гелей | Нестероидные противовоспалительные средства, хондропротекторы, мази с разогревающим и отвлекающим действием |
| Физиопроцедуры | Растирание косметическими маслами, ножные ванночки с настоями целебных трав, морской солью, эфирными маслами |
| Народные средства | Компрессы с листьями хрена, капусты, одуванчика, употребление прополиса с молоком, клюквенного морса, имбирного чая |
Что такое артроз голеностопного сустава?
Артроз голеностопного сустава — это заболевание, при котором происходит развитие дегенеративных процессов в хрящевых тканях. При прогрессировании артроза в хрящах сустава начинают происходить необратимые процессы, которые вызывают серьёзные последствия.
На сегодняшний день современная медицина классифицирует артроз голеностопного сустава следующим образом:
Изучением данного заболевания занимаются ведущие специалисты из разных стран мира, которые на протяжении многих лет проводят исследования в этой области. Согласно полученным статистическим данным, опубликованным в специализированных средствах массовой информации, на каждых 100 обследованных пациентов у 6-ти выявляется артроз голеностопного сустава.
Чаще всего эта болезнь поражает людей преклонного возраста, из общего числа больных 80% приходится на пожилых мужчин и женщин. Такой высокий показатель объясняется тем, что с возрастом у людей нарушается работа многих внутренних органов, системы кровообращения, истончается костная и хрящевая ткань. Несмотря на такую распространённость, артроз голеностопного сустава отлично поддаётся лечению.


